- Tel: 858.663.9055
- 
									 Email: info@nsjbio.com Email: info@nsjbio.com
- Tel: 858.663.9055
- Email: info@nsjbio.com
 Email: info@nsjbio.com
Email: info@nsjbio.com
								Related Products
| 
 | 
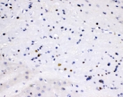
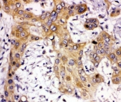
ZEB2 (Zinc finger E-box-binding homeobox 2), also known as SIP1 or ZINC FINGER HOMEOBOX 1B (ZFHX1B), is a protein that in humans is encoded by the ZEB2 gene. The ZEB2 gene is a member of the ZEB1/Drosophila Zfh1 family of 2-handed zinc finger/homeodomain proteins and functions as a DNA-binding transcriptional repressor that interacts with activated SMADs, the transducers of TGF-beta signaling, and interacts with the nucleosome remodeling and histone deacetylation (NURD) complex. By radiation hybrid analysis, Nagase et al.(1998) mapped the ZEB2 gene to chromosome 2. Wakamatsu et al.(2001) mapped the ZEB2 gene to chromosome 2q22. Vandewalle et al.(2005) showed that expression of mouse Sip1 in human epithelial cells caused a morphologic change from an epithelial to a mesenchymal phenotype. Expression of SNAI1 in epithelial cells triggers an epithelial-mesenchyme transition. Beltran et al.(2008) showed that synthesis of ZEB2 was upregulated following SNAI1 expression in human cell lines.
The stated application concentrations are suggested starting amounts. Titration of the SIP1 antibody may be required due to differences in protocols and secondary/substrate sensitivity.
An amino acid sequence from the C-terminus of human Smad Interacting Protein 1 (DMQQRRKYQRKQGFQ) was used as the immunogen for this SIP1 antibody (100% homologous in human, mouse and rat).
After reconstitution, the SIP1 antibody can be stored for up to one month at 4oC. For long-term, aliquot and store at -20oC. Avoid repeated freezing and thawing.
 
Your bulk quote request has been submitted successfully!
Please contact us if you have any questions.