• Tel: 858.663.9055
  • SeparatorEmail: info@nsjbio.com
  • Tel: 858.663.9055
  • Email: info@nsjbio.com
Home >> Antibodies >> SIP Antibody / CACYBP

SIP Antibody / CACYBP (R32417)

  Catalog No Formulation Size Price (USD)  
Image R32417 0.5mg/ml if reconstituted with 0.2ml sterile DI water 100 ug 439
Bulk quote request
Western blot testing of 1) rat brain, 2) mouse testis and 3) human SW620 lysate with SIP antibody. Expected/observed molecular weight ~26 kDa.
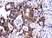
IHC testing of FFPE human intestinal cancer tissue with SIP antibody. HIER: Boil the paraffin sections in pH 6, 10mM citrate buffer for 20 minutes and allow to cool prior to testing.
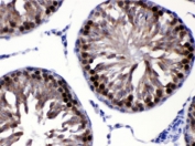
IHC testing of FFPE mouse testis with SIP antibody. HIER: Boil the paraffin sections in pH 6, 10mM citrate buffer for 20 minutes and allow to cool prior to testing.
IHC testing of FFPE rat testis with SIP antibody. HIER: Boil the paraffin sections in pH 6, 10mM citrate buffer for 20 minutes and allow to cool prior to testing.
Immunocytochemical staining of FFPE human MCF-7 with SIP antibody. HIER: boil tissue sections in pH6, 10mM citrate buffer, for 20 min and allow to cool before testing.
Western blot testing of 1) human MCF7, 2) RT4, 3) SW620, 4) human U-251, 5) rat liver, 6) rat brain, 7) mouse liver and 8) mouse brain tissue lysate with SIP antibody. Expected/observed molecular weight ~26 kDa.
Availability 1-3 business days
Species Reactivity Human, Mouse, Rat
Format Antigen affinity purified
Clonality Polyclonal (rabbit origin)
Isotype Rabbit IgG
Purity Antigen affinity
Buffer Lyophilized from 1X PBS with 2.5% BSA and 0.025% sodium azide
UniProt Q9HB71
Localization Nuclear, cytoplasmic
Applications Western Blot : 0.1-0.5ug/ml
IHC (FFPE) : 0.5-1ug/ml
Immunocytochemistry (FFPE) : 1-2ug/ml
Limitations This SIP antibody is available for research use only.
Review this product on BioCompare and get a $20 Amazon gift card

Related Products

Description

SIAH Interacting Protein/SIP is a protein that in humans is encoded by the CACYBP gene. The protein encoded by this gene is a calcyclin binding protein. It may be involved in calcium-dependent ubiquitination and subsequent proteosomal degradation of target proteins. In addition, it probably serves as a molecular bridge in ubiquitin E3 complexes and participates in the ubiquitin-mediated degradation of beta-catenin. Two alternatively spliced transcript variants encoding different isoforms have been found for this gene.

Application Notes

Optimal dilution of the SIP antibody should be determined by the researcher.

1. Required HIER for FFPE samples: Boil the paraffin sections in pH 6, 10mM citrate buffer for 20 minutes and allow to cool prior to testing.

Immunogen

Amino acids QKDLEEVKVLLEKATRKRVRDALTAEKSKIETEIKNKMQQK from the human protein were used as the immunogen for the SIP antibody.

Storage

After reconstitution, the SIP antibody can be stored for up to one month at 4oC. For long-term, aliquot and store at -20oC. Avoid repeated freezing and thawing.

Cross
Bulk Quote Request Form
Name*:
Organization*:
Email*:
Phone Number*:
Catalog No.*:
Comments and Specifics(amount, formulation, etc.)*:
Validation code: Captchapackage Image


Can't read the image? click here to refresh.
    *required field

Your bulk quote request has been submitted successfully!

Please contact us if you have any questions.