• Tel: 858.663.9055
  • SeparatorEmail: info@nsjbio.com
  • Tel: 858.663.9055
  • Email: info@nsjbio.com
Home >> Antibodies >> Single-minded homolog 1 Antibody / SIM1

Single-minded homolog 1 Antibody / SIM1 (F54660)

  Catalog No Formulation Size Price (USD)  
Image F54660-0.4ML In 1X PBS, pH 7.4, with 0.09% sodium azide 0.4 ml 429
Image
F54660-0.08ML In 1X PBS, pH 7.4, with 0.09% sodium azide 0.08 ml 199
Bulk quote request
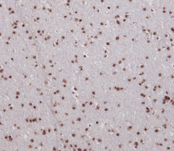
IHC testing of FFPE human brain tissue with Single-minded homolog 1 antibody. HIER: steam section in pH6 citrate buffer for 20 min and allow to cool prior to staining.
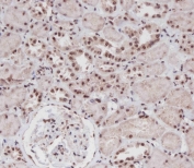
IHC testing of FFPE human kidney tissue with Single-minded homolog 1 antibody. HIER: steam section in pH6 citrate buffer for 20 min and allow to cool prior to staining.
Western blot testing of human 293T cell lysate with Single-minded homolog 1 antibody. Predicted molecular weight ~86 kDa.
Western blot testing of human A549 cell lysate with Single-minded homolog 1 antibody. Predicted molecular weight ~86 kDa.
Availability 1-3 business days
Species Reactivity Human
Format Purified
Clonality Polyclonal (rabbit origin)
Isotype Rabbit Ig
Purity Antigen affinity purified
UniProt P81133
Applications Immunohistochemistry (FFPE) : 1:25
Western Blot : 1:500-1:2000
Limitations This Single-minded homolog 1 antibody is available for research use only.
Review this product on BioCompare and get a $20 Amazon gift card

Related Products

Description

SIM1 and SIM2 genes are Drosophila single-minded (sim) gene homologs. SIM1 transcript was detected only in fetal kidney out of various adult and fetal tissues tested. Since the sim gene plays an important role in Drosophila development and has peak levels of expression during the period of neurogenesis,it was proposed that the human SIM gene is a candidate for involvement in certain dysmorphic features (particularly the facial and skull characteristics), abnormalities of brain development, and/or mental retardation of Down syndrome.

Application Notes

The stated application concentrations are suggested starting points. Titration of the Single-minded homolog 1 antibody may be required due to differences in protocols and secondary/substrate sensitivity.

Immunogen

A portion of amino acids 1-30 from the human protein was used as the immunogen for the Single-minded homolog 1 antibody.

Storage

Aliquot the Single-minded homolog 1 antibody and store frozen at -20oC or colder. Avoid repeated freeze-thaw cycles.

Cross
Bulk Quote Request Form
Name*:
Organization*:
Email*:
Phone Number*:
Catalog No.*:
Comments and Specifics(amount, formulation, etc.)*:
Validation code: Captchapackage Image


Can't read the image? click here to refresh.
    *required field

Your bulk quote request has been submitted successfully!

Please contact us if you have any questions.