• Tel: 858.663.9055
  • SeparatorEmail: info@nsjbio.com
  • Tel: 858.663.9055
  • Email: info@nsjbio.com
Home >> Antibodies >> SIM2 Antibody / Single-minded homolog 2 / BHLHE15

SIM2 Antibody / Single-minded homolog 2 / BHLHE15 (RQ8701)

  Catalog No Formulation Size Price (USD)  
Image RQ8701 0.5mg/ml if reconstituted with 0.2ml sterile DI water 100 ug 439
Bulk quote request
Flow cytometry testing of fixed and permeabilized human PC-3 cells with SIM2 antibody at 1ug/million cells (blocked with goat sera); Red=cells alone, Green=isotype control, Blue= SIM2 antibody.
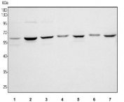
Western blot testing of 1) human PC-3, 2) human HepG2, 3) monkey COS-7, 4) rat skeletal muscle, 5) rat brain, 6) mouse skeletal muscle and 7) mouse skeletal muscle tissue lysate with SIM2 antibody. Predicted molecular weight ~73 kDa (SIM2) and ~65 kDa (SIM2S).
Availability 1-3 days
Species Reactivity Human, Monkey, Mouse, Rat
Format Antigen affinity purified
Clonality Polyclonal (rabbit origin)
Isotype Rabbit IgG
Purity Antigen affinity chromatography
Buffer Lyophilized from 1X PBS with 2% Trehalose
UniProt Q14190
Applications Western Blot : 1-2ug/ml
Flow Cytometry : 1-3ug/million cells
ELISA : 0.1-0.5ug/ml
Limitations This SIM2 antibody is available for research use only.
Review this product on BioCompare and get a $20 Amazon gift card

Related Products

Description

Single-minded homolog 2 is a protein that in humans is encoded by the SIM2 gene. This gene represents a homolog of the Drosophila single-minded (sim) gene, which encodes a transcription factor that is a master regulator of neurogenesis. The encoded protein is ubiquitinated by RING-IBR-RING-type E3 ubiquitin ligases, including the parkin RBR E3 ubiquitin protein ligase. This gene maps within the so-called Down syndrome chromosomal region, and is thus thought to contribute to some specific Down syndrome phenotypes. Alternative splicing of this gene results in multiple transcript variants.

Application Notes

Optimal dilution of the SIM2 antibody should be determined by the researcher.

Immunogen

An E.coli-derived human recombinant protein (amino acids Y337-R609) was used as the immunogen for the SIM2 antibody.

Storage

After reconstitution, the SIM2 antibody can be stored for up to one month at 4oC. For long-term, aliquot and store at -20oC. Avoid repeated freezing and thawing.

Cross
Bulk Quote Request Form
Name*:
Organization*:
Email*:
Phone Number*:
Catalog No.*:
Comments and Specifics(amount, formulation, etc.)*:
Validation code: Captchapackage Image


Can't read the image? click here to refresh.
    *required field

Your bulk quote request has been submitted successfully!

Please contact us if you have any questions.