• Tel: 858.663.9055
  • SeparatorEmail: info@nsjbio.com
  • Tel: 858.663.9055
  • Email: info@nsjbio.com
Home >> Antibodies >> SIGLEC7 Antibody

SIGLEC7 Antibody (F40103)

  Catalog No Formulation Size Price (USD)  
Image F40103-0.4ML In 1X PBS, pH 7.4, with 0.09% sodium azide 0.4 ml 429
Image
F40103-0.08ML In 1X PBS, pH 7.4, with 0.09% sodium azide 0.08 ml 199
Bulk quote request
Western blot analysis of SIGLEC7 antibody and NCI-H460 lysate.
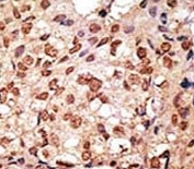
IHC analysis of FFPE human breast carcinoma stained with the SIGLEC7 antibody
Availability 1-3 business days
Species Reactivity Human
Format Antigen affinity purified
Clonality Polyclonal (rabbit origin)
Isotype Rabbit Ig
Purity Antigen affinity
UniProt Q9Y286
Applications Western Blot : 1:1000
IHC (Paraffin) : 1:50-1:100
Limitations This SIGLEC7 antibody is available for research use only.
Review this product on BioCompare and get a $20 Amazon gift card

Related Products

Description

SIGLECs are cell surface proteins of the Ig superfamily. Most SIGLECs have 1 or more cytoplasmic immune receptor tyrosine-based inhibitory motifs, or ITIMs. A large subgroup of SIGLECs share high homology with SIGLEC3 (CD33) and are localized to 19q13.4. The cDNA for the SLG gene encodes 2 variants, SLG-long (SLGL) and SLG-short (SLGS). The 595-amino acid SLGL protein contains a signal peptide and 2 V-set N-terminal Ig-like domains. The 477-amino acid SLGS protein has a weak signal sequence and, like most SIGLEC3-like SIGLECs, has only 1 V-set N-terminal Ig-like domain. Both variants contain 2 C2-set N-terminal Ig-like domains, a transmembrane domain, and a cytoplasmic tail with a putative ITIM and a putative SLAM-like tyrosine-based motif. The conserved arginine residue thought to be essential for sialic acid binding in other SIGLECs is replaced by a glutamine in SLGS and by a cysteine in SLGL. RT-PCR analysis detected high expression of both variants in spleen and small intestine, and SLGS was highly expressed in adrenal gland and SLGL was highly expressed in bone marrow.

Application Notes

Titration of the SIGLEC7 antibody may be required due to differences in protocols and secondary/substrate sensitivity.

Immunogen

A portion of amino acids 1-30 from the human protein was used as the immunogen for this SIGLEC7 antibody.

Storage

Aliquot the SIGLEC7 antibody and store frozen at -20oC or colder. Avoid repeated freeze-thaw cycles.

Cross
Bulk Quote Request Form
Name*:
Organization*:
Email*:
Phone Number*:
Catalog No.*:
Comments and Specifics(amount, formulation, etc.)*:
Validation code: Captchapackage Image


Can't read the image? click here to refresh.
    *required field

Your bulk quote request has been submitted successfully!

Please contact us if you have any questions.