• Tel: 858.663.9055
  • SeparatorEmail: info@nsjbio.com
  • Tel: 858.663.9055
  • Email: info@nsjbio.com
Home >> Antibodies >> SHIP1 Antibody / SH2 domain-containing inositol 5'-phosphatase 1 / INPP5D

SHIP1 Antibody / SH2 domain-containing inositol 5'-phosphatase 1 / INPP5D (RQ4421)

  Catalog No Formulation Size Price (USD)  
Image RQ4421 0.5mg/ml if reconstituted with 0.2ml sterile DI water 100 ug 439
Bulk quote request
Western blot testing of human 1) CCRF-CEM and 2) SW620 cell lysate with SHIP1 antibody at 0.5ug/ml. Predicted molecular weight ~133 kDa, commonly observed at ~145 kDa.
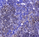
IHC testing of FFPE human tonsil tissue with SHIP1 antibody at 1ug/ml. Required HIER: steam section in pH6 citrate buffer for 20 min and allow to cool prior to staining.
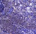
IHC testing of FFPE mouse spleen tissue with SHIP1 antibody at 1ug/ml. Required HIER: steam section in pH6 citrate buffer for 20 min and allow to cool prior to staining.
IHC testing of FFPE rat spleen tissue with SHIP1 antibody at 1ug/ml. Required HIER: steam section in pH6 citrate buffer for 20 min and allow to cool prior to staining.
Availability 1-3 business days
Species Reactivity Human, Mouse, Rat
Format Antigen affinity purified
Clonality Polyclonal (rabbit origin)
Isotype Rabbit IgG
Purity Antigen affinity purified
Buffer Lyophilized from 1X PBS with 2% Trehalose and 0.025% sodium azide
UniProt Q92835
Localization Membrane, cytoplasm
Applications Western Blot : 0.5-1ug/ml
IHC (FFPE) : 1-2ug/ml
Limitations This SHIP1 antibody is available for research use only.
Review this product on BioCompare and get a $20 Amazon gift card

Related Products

Description

Phosphatidylinositol-3,4,5-trisphosphate 5-phosphatase 1, also called Inositol polyphosphate-5-phosphatase of 145 kDa, SIP-145 and SH2 domain-containing inositol phosphatase 1 (SHIP1), is an enzyme that in humans is encoded by the INPP5D gene. This gene is a member of the inositol polyphosphate-5-phosphatase (INPP5) family and encodes a protein with an N-terminal SH2 domain, an inositol phosphatase domain, and two C-terminal protein interaction domains. Expression of this protein is restricted to hematopoietic cells where its movement from the cytosol to the plasma membrane is mediated by tyrosine phosphorylation. At the plasma membrane, the protein hydrolyzes the 5' phosphate from phosphatidylinositol (3,4,5)-trisphosphate and inositol-1,3,4,5-tetrakisphosphate, thereby affecting multiple signaling pathways. The protein is also partly localized to the nucleus, where it may be involved in nuclear inositol phosphate signaling processes. Overall, the protein functions as a negative regulator of myeloid cell proliferation and survival. Mutations in this gene are associated with defects and cancers of the immune system.

Application Notes

Optimal dilution of the SHIP1 antibody should be determined by the researcher.

Immunogen

Amino acids NEDDKFTVQASEGVSMRFFTKLDQLIEFYKKENMGLVTHLQ from the human protein were used as the immunogen for the SHIP1 antibody.

Storage

After reconstitution, the SHIP1 antibody can be stored for up to one month at 4oC. For long-term, aliquot and store at -20oC. Avoid repeated freezing and thawing.

Cross
Bulk Quote Request Form
Name*:
Organization*:
Email*:
Phone Number*:
Catalog No.*:
Comments and Specifics(amount, formulation, etc.)*:
Validation code: Captchapackage Image


Can't read the image? click here to refresh.
    *required field

Your bulk quote request has been submitted successfully!

Please contact us if you have any questions.