• Tel: 858.663.9055
  • SeparatorEmail: info@nsjbio.com
  • Tel: 858.663.9055
  • Email: info@nsjbio.com
Home >> Antibodies >> SGCE Antibody / Epsilon-sarcoglycan

SGCE Antibody / Epsilon-sarcoglycan (RQ7584)

  Catalog No Formulation Size Price (USD)  
Image RQ7584 0.5mg/ml if reconstituted with 0.2ml sterile DI water 100 ug 439
Bulk quote request
IHC staining of FFPE human breast cancer tissue with SGCE antibody. HIER: boil tissue sections in pH8 EDTA for 20 min and allow to cool before testing.
IHC staining of FFPE human liver cancer tissue with SGCE antibody. HIER: boil tissue sections in pH8 EDTA for 20 min and allow to cool before testing.
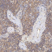
IHC staining of FFPE human renal cancer tissue with SGCE antibody. HIER: boil tissue sections in pH8 EDTA for 20 min and allow to cool before testing.
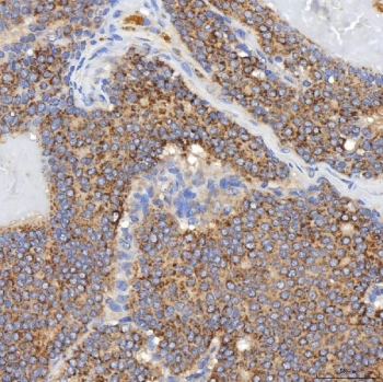
IHC staining of FFPE human spleen tissue with SGCE antibody. HIER: boil tissue sections in pH8 EDTA for 20 min and allow to cool before testing.
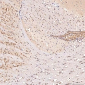
IHC staining of FFPE mouse brain tissue with SGCE antibody. HIER: boil tissue sections in pH8 EDTA for 20 min and allow to cool before testing.
IHC staining of FFPE rat brain tissue with SGCE antibody. HIER: boil tissue sections in pH8 EDTA for 20 min and allow to cool before testing.
Western blot testing of 1) human U-251, 2) rat brain, 3) rat heart, 4) rat C6, 5) mouse brain and 6) mouse heart tissue lysate with SGCE antibody. Predicted molecular weight ~50 kDa.
Flow cytometry testing of human PC-3 cells with SGCE antibody at 1ug/million cells (blocked with goat sera); Red=cells alone, Green=isotype control, Blue= SGCE antibody.
Flow cytometry testing of human A549 cells with SGCE antibody at 1ug/million cells (blocked with goat sera); Red=cells alone, Green=isotype control, Blue= SGCE antibody.
Availability 1-3 business days
Species Reactivity Human, Mouse, Rat
Format Antigen affinity purified
Clonality Polyclonal (rabbit origin)
Isotype Rabbit IgG
Purity Antigen affinity purified
Buffer Lyophilized from 1X PBS with 2% Trehalose
UniProt O43556
Localization Cytoplasmic
Applications Western Blot : 0.5-1ug/ml
Immunohistochemistry (FFPE) : 2-5ug/ml
Flow Cytometry : 1-3ug/million cells
Direct ELISA : 0.1-0.5ug/ml
Limitations This SGCE antibody is available for research use only.
Review this product on BioCompare and get a $20 Amazon gift card

Related Products

Description

Epsilon-sarcoglycan is a protein that in humans is encoded by the SGCE gene. This gene encodes the epsilon member of the sarcoglycan family. Sarcoglycans are transmembrane proteins that are components of the dystrophin-glycoprotein complex, which link the actin cytoskeleton to the extracellular matrix. Unlike other family members which are predominantly expressed in striated muscle, the epsilon sarcoglycan is more broadly expressed. Mutations in this gene are associated with myoclonus-dystonia syndrome. This gene is imprinted, with preferential expression from the paternal allele. Alternatively spliced transcript variants encoding different isoforms have been found for this gene. A pseudogene associated with this gene is located on chromosome 2.

Application Notes

Optimal dilution of the SGCE antibody should be determined by the researcher.

Immunogen

E. coli-derived recombinant human protein (amino acids Y38-D407) was used as the immunogen for the SGCE antibody.

Storage

After reconstitution, the SGCE antibody can be stored for up to one month at 4oC. For long-term, aliquot and store at -20oC. Avoid repeated freezing and thawing.

Cross
Bulk Quote Request Form
Name*:
Organization*:
Email*:
Phone Number*:
Catalog No.*:
Comments and Specifics(amount, formulation, etc.)*:
Validation code: Captchapackage Image


Can't read the image? click here to refresh.
    *required field

Your bulk quote request has been submitted successfully!

Please contact us if you have any questions.