• Tel: 858.663.9055
  • SeparatorEmail: info@nsjbio.com
  • Tel: 858.663.9055
  • Email: info@nsjbio.com
Home >> Antibodies >> SFTPD Antibody / Surfactant protein D

SFTPD Antibody / Surfactant protein D [clone rSFTPD/8065] (V4107)

  Catalog No Formulation Size Price (USD)  
Image V4107-100UG 0.2 mg/ml in 1X PBS with 0.1 mg/ml BSA (US sourced), 0.05% sodium azide 100 ug 539
Image
V4107-20UG 0.2 mg/ml in 1X PBS with 0.1 mg/ml BSA (US sourced), 0.05% sodium azide 20 ug 249
Image
V4107SAF-100UG 1 mg/ml in 1X PBS; BSA free, sodium azide free 100 ug 539
Microvalidated Recmousemono
Bulk quote request
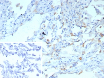
IHC staining of FFPE human lung tissue with Surfactant Protein D antibody (clone rSFTPD/8065). Inset: PBS used in place of primary Ab (secondary Ab negative control). HIER: boil tissue sections in pH 9 10mM Tris with 1mM EDTA for 20 min and allow to cool before testing.
SDS-PAGE analysis of purified, BSA-free SFTPD antibody (clone rSFTPD/8065) as confirmation of integrity and purity.
Availability 1-3 business days
Species Reactivity Human
Format Purified
Clonality Recombinant Mouse Monoclonal
Isotype Mouse IgG1, kappa
Clone Name rSFTPD/8065
Purity Protein A/G affinity
UniProt P35247
Localization Secreted
Applications Immunohistochemistry (FFPE) : 1-2ug/ml for 30 minutes at RT
Limitations This SFTPD antibody is available for research use only.
Review this product on BioCompare and get a $20 Amazon gift card

Related Products

Description

Pulmonary surfactant is primarily responsible for lowering the surface tension at the air-liquid interface in the alveoli, a process that is essential for normal respiration. Pulmonary surfactant is a mixture of phospholipids and proteins, including four distinct surfactant-associated proteins (SPs), SP-A, SP-B, SP-C, SP-D. SP-B and SP-C are predominantly hydrophobic proteins that associate with lipids to promote the absorption of surfactant phospholipids and to reduce the surface tension in the alveoli. SP-A and SP-D are large multimeric proteins belonging to the family of calcium-dependent lectins, designated Collectins, which contribute to the innate immune system. Both SP-A and SP-D have been shown to protect against microbial challenge through binding to the lipid components of the bacterial cell wall and facilitating the rapid removal of microbials.

Application Notes

Optimal dilution of the SFTPD antibody should be determined by the researcher.

Immunogen

A recombinant partial protein (within amino acids 200-375) from the human protein was used as the immunogen for the SFTPD antibody.

Storage

Aliquot the SFTPD antibody and store frozen at -20oC or colder. Avoid repeated freeze-thaw cycles.

Cross
Bulk Quote Request Form
Name*:
Organization*:
Email*:
Phone Number*:
Catalog No.*:
Comments and Specifics(amount, formulation, etc.)*:
Validation code: Captchapackage Image


Can't read the image? click here to refresh.
    *required field

Your bulk quote request has been submitted successfully!

Please contact us if you have any questions.