• Tel: 858.663.9055
  • SeparatorEmail: info@nsjbio.com
  • Tel: 858.663.9055
  • Email: info@nsjbio.com
Home >> Antibodies >> SFRP1 Antibody

SFRP1 Antibody (RQ4938)

  Catalog No Formulation Size Price (USD)  
Image RQ4938 0.5mg/ml if reconstituted with 0.2ml sterile DI water 100 ug 439
Bulk quote request
Western blot testing of 1) human A549, 2) human U-2 OS, 3) human PC-3, 4) rat heart, 5) mouse heart and 6) mouse HEPA1-6 lysate wtih SFRP1 antibody at 0.5ug/ml. Predicted molecular weight ~35 kDa.
IHC staining of FFPE human colon cancer with SFRP1 antibody at 1ug/ml. HIER: boil tissue sections in pH6, 10mM citrate buffer, for 10-20 min and allow to cool before testing.
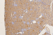
IHC staining of FFPE human lung cancer with SFRP1 antibody at 1ug/ml. HIER: boil tissue sections in pH6, 10mM citrate buffer, for 10-20 min and allow to cool before testing.
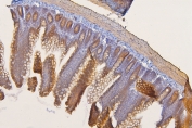
IHC staining of FFPE mouse intestine with SFRP1 antibody at 1ug/ml. HIER: boil tissue sections in pH6, 10mM citrate buffer, for 10-20 min and allow to cool before testing.
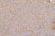
IHC staining of FFPE mouse kidney with SFRP1 antibody at 1ug/ml. HIER: boil tissue sections in pH6, 10mM citrate buffer, for 10-20 min and allow to cool before testing.
IHC staining of FFPE rat intestine with SFRP1 antibody at 1ug/ml. HIER: boil tissue sections in pH6, 10mM citrate buffer, for 10-20 min and allow to cool before testing.
IHC staining of FFPE rat kidney with SFRP1 antibody at 1ug/ml. HIER: boil tissue sections in pH6, 10mM citrate buffer, for 10-20 min and allow to cool before testing.
Immunofluorescent staining of FFPE human U-2 OS cells with SFRP1 antibody (green) and DAPI nuclear stain (blue). HIER: steam section in pH6 citrate buffer for 20 min.
Flow cytometry testing of human A549 cells with SFRP1 antibody at 1ug/million cells (blocked with goat sera); Red=cells alone, Green=isotype control, Blue= SFRP1 antibody.
Availability 1-3 business days
Species Reactivity Human, Mouse, Rat
Format Antigen affinity purified
Clonality Polyclonal (rabbit origin)
Isotype Rabbit IgG
Purity Antigen affinity purified
Buffer Lyophilized from 1X PBS with 2% Trehalose and 0.025% sodium azide
UniProt Q8N474
Localization Cytoplasmic, secreted
Applications Western Blot : 0.5-1ug/ml
Immunohistochemistry (FFPE) : 1-2ug/ml
Immunofluorescence (FFPE) : 2-4ug/ml
Flow Cytometry : 1-3ug/million cells
Direct ELISA : 0.1-0.5ug/ml
Limitations This SFRP1 antibody is available for research use only.
Review this product on BioCompare and get a $20 Amazon gift card

Related Products

  • Applications : IHC, ELISA (peptide)
    Reactivity : Human
    Pred. Reactivity : Cow, Mouse

Description

Secreted frizzled-related protein 1, also known as SFRP1, is a protein which in humans is encoded by the SFRP1 gene. It is mapped to 8p11.21. This gene encodes a member of the SFRP family that contains a cysteine-rich domain homologous to the putative Wnt-binding site of Frizzled proteins. Members of this family act as soluble modulators of Wnt signaling; epigenetic silencing of SFRP genes leads to deregulated activation of the Wnt-pathway which is associated with cancer. This gene may also be involved in determining the polarity of photoreceptor cells in the retina.

Application Notes

Optimal dilution of the SFRP1 antibody should be determined by the researcher.

Immunogen

Amino acids A204-K314 from the human protein were used as the immunogen for the SFRP1 antibody.

Storage

After reconstitution, the SFRP1 antibody can be stored for up to one month at 4oC. For long-term, aliquot and store at -20oC. Avoid repeated freezing and thawing.

Cross
Bulk Quote Request Form
Name*:
Organization*:
Email*:
Phone Number*:
Catalog No.*:
Comments and Specifics(amount, formulation, etc.)*:
Validation code: Captchapackage Image


Can't read the image? click here to refresh.
    *required field

Your bulk quote request has been submitted successfully!

Please contact us if you have any questions.