• Tel: 858.663.9055
  • SeparatorEmail: info@nsjbio.com
  • Tel: 858.663.9055
  • Email: info@nsjbio.com
Home >> Antibodies >> SFRP1 Antibody

SFRP1 Antibody (R34542)

  Catalog No Formulation Size Price (USD)  
Image R34542-100UG 0.5 mg/ml in 1X TBS, pH7.3, with 0.5% BSA (US sourced) and 0.02% sodium azide 100 ug 449
Bulk quote request
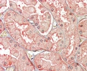
IHC testing of FFPE human kidney with SFRP1 antibody at 4ug/ml. HIER: steamed with pH6 citrate buffer, AP-staining. Vesicular staining is seen.
Availability 1-3 business days
Species Reactivity Human
Predicted Reactivity Cow, Mouse
Format Antigen affinity purified
Clonality Polyclonal (goat origin)
Isotype Goat Ig
Purity Antigen affinity
Gene ID 6422
Applications Immunohistochemistry (FFPE) : 3-6ug/ml
ELISA (peptide) LOD : 1:1000
Limitations This SFRP1 antibody is available for research use only.
Review this product on BioCompare and get a $20 Amazon gift card

Related Products

  • Applications : WB, IHC-P, IF, FACS, Direct ELISA
    Reactivity : Human, Mouse, Rat

Description

Additional name(s) for this target protein: Secreted frizzled-related protein 1

Application Notes

Optimal dilution of the SFRP1 antibody should be determined by the researcher.

Immunogen

Amino acids KNHECPTFQSVFK were used as the immunogen for this SFRP1 antibody.

Storage

Aliquot and store the SFRP1 antibody at -20oC.

Cross
Bulk Quote Request Form
Name*:
Organization*:
Email*:
Phone Number*:
Catalog No.*:
Comments and Specifics(amount, formulation, etc.)*:
Validation code: Captchapackage Image


Can't read the image? click here to refresh.
    *required field

Your bulk quote request has been submitted successfully!

Please contact us if you have any questions.