• Tel: 858.663.9055
  • SeparatorEmail: info@nsjbio.com
  • Tel: 858.663.9055
  • Email: info@nsjbio.com
Home >> Antibodies >> SF3a60 Antibody / SAP 61 / Splicing factor 3A subunit 3

SF3a60 Antibody / SAP 61 / Splicing factor 3A subunit 3 (RQ7634)

  Catalog No Formulation Size Price (USD)  
Image RQ7634 0.5mg/ml if reconstituted with 0.2ml sterile DI water 100 ug 439
Bulk quote request
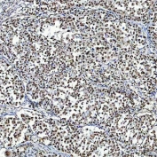
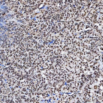
IHC staining of FFPE human ovarian serous cancer tissue with SF3a60 antibody. HIER: boil tissue sections in pH8 EDTA for 20 min and allow to cool before testing.
IHC staining of FFPE human lung adenocarcinoma tissue with SF3a60 antibody. HIER: boil tissue sections in pH8 EDTA for 20 min and allow to cool before testing.
IHC staining of FFPE human larynx squamous cell carcinoma tissue with SF3a60 antibody. HIER: boil tissue sections in pH8 EDTA for 20 min and allow to cool before testing.
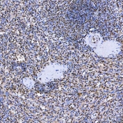
IHC staining of FFPE human spleen tissue with SF3a60 antibody. HIER: boil tissue sections in pH8 EDTA for 20 min and allow to cool before testing.
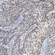
IHC staining of FFPE human prostate adenocarcinoma tissue with SF3a60 antibody. HIER: boil tissue sections in pH8 EDTA for 20 min and allow to cool before testing.
IHC staining of FFPE human breast cancer tissue with SF3a60 antibody. HIER: boil tissue sections in pH8 EDTA for 20 min and allow to cool before testing.
IHC staining of FFPE mouse brain tissue with SF3a60 antibody. HIER: boil tissue sections in pH8 EDTA for 20 min and allow to cool before testing.
IHC staining of FFPE mouse kidney tissue with SF3a60 antibody. HIER: boil tissue sections in pH8 EDTA for 20 min and allow to cool before testing.
IHC staining of FFPE rat brain tissue with SF3a60 antibody. HIER: boil tissue sections in pH8 EDTA for 20 min and allow to cool before testing.
IHC staining of FFPE rat kidney tissue with SF3a60 antibody. HIER: boil tissue sections in pH8 EDTA for 20 min and allow to cool before testing.
Immunofluorescent staining of FFPE human intestinal cancer tissue with SF3a60 antibody. HIER: steam section in pH8 EDTA buffer for 20 min.
Immunofluorescent staining of FFPE human PC-3 cells with SF3a60 antibody (red) and Alpha Tubulin mAb (green). HIER: steam section in pH6 citrate buffer for 20 min.
Western blot testing of 1) human HeLa, 2) human A431, 3) human HL60, 4) rat liver, 5) rat C6, 6) mouse liver and 7) mouse NIH 3T3 cell lysate with SF3a60 antibody. Predicted molecular weight ~59 kDa.
Flow cytometry testing of human SiHa cells with SF3a60 antibody at 1ug/million cells (blocked with goat sera); Red=cells alone, Green=isotype control, Blue= SF3a60 antibody.
Availability 1-3 business days
Species Reactivity Human, Mouse, Rat
Format Antigen affinity purified
Clonality Polyclonal (rabbit origin)
Isotype Rabbit IgG
Purity Antigen affinity purified
Buffer Lyophilized from 1X PBS with 2% Trehalose
UniProt Q12874
Localization Nuclear
Applications Western Blot : 0.5-1ug/ml
Immunohistochemistry (FFPE) : 2-5ug/ml
Immunofluorescence : 5ug/ml
Flow Cytometry : 1-3ug/million cells
Direct ELISA : 0.1-0.5ug/ml
Limitations This SF3a60 antibody is available for research use only.
Review this product on BioCompare and get a $20 Amazon gift card

Related Products

Description

Splicing factor 3A subunit 3 is a protein that in humans is encoded by the SF3A3 gene. This gene encodes subunit 3 of the splicing factor 3a protein complex. The splicing factor 3a heterotrimer includes subunits 1, 2 and 3 and is necessary for the in vitro conversion of 15S U2 snRNP into an active 17S particle that performs pre-mRNA splicing. Subunit 3 interacts with subunit 1 through its amino-terminus while the zinc finger domain of subunit 3 plays a role in its binding to the 15S U2 snRNP. This gene has a pseudogene on chromosome 20. Alternative splicing results in multiple transcript variants

Application Notes

Optimal dilution of the SF3a60 antibody should be determined by the researcher.

Immunogen

E. coli-derived recombinant human protein (amino acids E123-Q472) was used as the immunogen for the SF3a60 antibody.

Storage

After reconstitution, the SF3a60 antibody can be stored for up to one month at 4oC. For long-term, aliquot and store at -20oC. Avoid repeated freezing and thawing.

Cross
Bulk Quote Request Form
Name*:
Organization*:
Email*:
Phone Number*:
Catalog No.*:
Comments and Specifics(amount, formulation, etc.)*:
Validation code: Captchapackage Image


Can't read the image? click here to refresh.
    *required field

Your bulk quote request has been submitted successfully!

Please contact us if you have any questions.