• Tel: 858.663.9055
  • SeparatorEmail: info@nsjbio.com
  • Tel: 858.663.9055
  • Email: info@nsjbio.com
Home >> Antibodies >> SF3a120 Antibody / Splicing factor 3A subunit 1 / SF3A1

SF3a120 Antibody / Splicing factor 3A subunit 1 / SF3A1 (RQ7633)

  Catalog No Formulation Size Price (USD)  
Image RQ7633 0.5mg/ml if reconstituted with 0.2ml sterile DI water 100 ug 439
Bulk quote request
Western blot testing of 1) rat lung, 2) rat brain, 3) rat thymus, 4) rat C6, 5) mouse lung, 6) mouse brain, 7) mouse thymus and 8) mouse Neuro-2a cell lysate with SF3a120 antibody. Predicted molecular weight ~89 kDa but commonly observed at ~120 kDa.
Western blot testing of human 1) HeLa, 2) Jurkat, 3) K562, 4) 293T, 5) U-251, 6) Daudi and 7) MOLT4 cell lysate with SF3a120 antibody. Predicted molecular weight ~89 kDa but commonly observed at ~120 kDa.
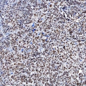
IHC staining of FFPE human ovarian serous cancer tissue with SF3a120 antibody. HIER: boil tissue sections in pH8 EDTA for 20 min and allow to cool before testing.
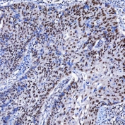
IHC staining of FFPE human larynx squamous cell carcinoma tissue with SF3a120 antibody. HIER: boil tissue sections in pH8 EDTA for 20 min and allow to cool before testing.
IHC staining of FFPE human lung adenocarcinoma tissue with SF3a120 antibody. HIER: boil tissue sections in pH8 EDTA for 20 min and allow to cool before testing.
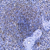
IHC staining of FFPE human spleen tissue with SF3a120 antibody. HIER: boil tissue sections in pH8 EDTA for 20 min and allow to cool before testing.
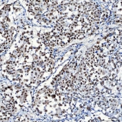
IHC staining of FFPE human prostate adenocarcinoma tissue with SF3a120 antibody. HIER: boil tissue sections in pH8 EDTA for 20 min and allow to cool before testing.
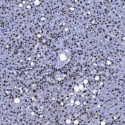
IHC staining of FFPE human liver cancer tissue with SF3a120 antibody. HIER: boil tissue sections in pH8 EDTA for 20 min and allow to cool before testing.
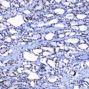
IHC staining of FFPE rat kidney tissue with SF3a120 antibody. HIER: boil tissue sections in pH8 EDTA for 20 min and allow to cool before testing.
Immunofluorescent staining of FFPE human intestinal cancer tissue with SF3a120 antibody. HIER: steam section in pH8 EDTA buffer for 20 min.
Immunofluorescent staining of FFPE rat colon tissue with SF3a120 antibody. HIER: steam section in pH8 EDTA buffer for 20 min.
Immunofluorescent staining of FFPE human PC-3 cells with SF3a120 antibody (red) and Alpha Tubulin mAb (red). HIER: steam section in pH6 citrate buffer for 20 min.
Availability 1-3 business days
Species Reactivity Human, Mouse, Rat
Format Antigen affinity purified
Clonality Polyclonal (rabbit origin)
Isotype Rabbit IgG
Purity Antigen affinity purified
Buffer Lyophilized from 1X PBS with 2% Trehalose
UniProt Q15459
Localization Nuclear
Applications Western Blot : 0.5-1ug/ml
Immunohistochemistry (FFPE) : 2-5ug/ml
Immunofluorescence : 5ug/ml
Direct ELISA : 0.1-0.5ug/ml
Limitations This SF3a120 antibody is available for research use only.
Review this product on BioCompare and get a $20 Amazon gift card

Related Products

Description

Splicing factor 3 subunit 1 is a protein that in humans is encoded by the SF3A1 gene. This gene encodes a subunit of the splicing factor 3a protein complex. The splicing factor 3a heterotrimer is a component of the mature U2 small nuclear ribonucleoprotein particle (snRNP). U2 small nuclear ribonucleoproteins play a critical role in spliceosome assembly and pre-mRNA splicing.

Application Notes

Optimal dilution of the SF3a120 antibody should be determined by the researcher.

Immunogen

E. coli-derived recombinant human protein (amino acids K20-Q556) was used as the immunogen for the SF3a120 antibody.

Storage

After reconstitution, the SF3a120 antibody can be stored for up to one month at 4oC. For long-term, aliquot and store at -20oC. Avoid repeated freezing and thawing.

Cross
Bulk Quote Request Form
Name*:
Organization*:
Email*:
Phone Number*:
Catalog No.*:
Comments and Specifics(amount, formulation, etc.)*:
Validation code: Captchapackage Image


Can't read the image? click here to refresh.
    *required field

Your bulk quote request has been submitted successfully!

Please contact us if you have any questions.