• Tel: 858.663.9055
  • SeparatorEmail: info@nsjbio.com
  • Tel: 858.663.9055
  • Email: info@nsjbio.com
Home >> Antibodies >> SF1 Antibody / Splicing factor 1

SF1 Antibody / Splicing factor 1 (RQ4231)

  Catalog No Formulation Size Price (USD)  
Image RQ4231 0.5mg/ml if reconstituted with 0.2ml sterile DI water 100 ug 439
Bulk quote request
Western blot testing of 1) rat brain and 2) mouse brain lysate with SF1 antibody at 0.5ug/ml. Predicted molecular weight ~68 kDa.
IHC testing of FFPE human rectal cancer tissue with SF1 antibody at 1ug/ml. Required HIER: steam section in pH6 citrate buffer for 20 min and allow to cool prior to staining.
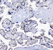
IHC testing of FFPE human placental tissue with SF1 antibody at 1ug/ml. Required HIER: steam section in pH6 citrate buffer for 20 min and allow to cool prior to staining.
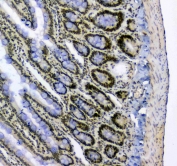
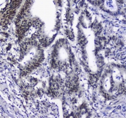
IHC testing of FFPE mouse small intestine tissue with SF1 antibody at 1ug/ml. Required HIER: steam section in pH6 citrate buffer for 20 min and allow to cool prior to staining.
IHC testing of FFPE rat small intestine tissue with SF1 antibody at 1ug/ml. Required HIER: steam section in pH6 citrate buffer for 20 min and allow to cool prior to staining.
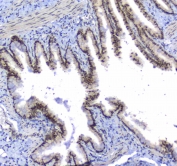
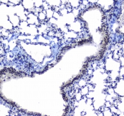
IHC testing of FFPE mouse lung tissue with SF1 antibody at 1ug/ml. Required HIER: steam section in pH6 citrate buffer for 20 min and allow to cool prior to staining.
IHC testing of FFPE rat lung tissue with SF1 antibody at 1ug/ml. Required HIER: steam section in pH6 citrate buffer for 20 min and allow to cool prior to staining.
Immunofluorescent staining of FFPE human A431 cells with SF1 antibody (red) at 2ug/ml and DAPI nuclear stain (blue). HIER: steam section in pH6 citrate buffer for 20 min.
Flow cytometry testing of human A431 cells with SF1 antibody at 1ug/million cells (blocked with goat sera); Red=cells alone, Green=isotype control, Blue= SF1 antibody.
Availability 1-3 business days
Species Reactivity Human, Mouse, Rat
Format Antigen affinity purified
Clonality Polyclonal (rabbit origin)
Isotype Rabbit IgG
Purity Antigen affinity
Buffer Lyophilized from 1X PBS with 2% Trehalose and 0.025% sodium azide
UniProt Q15637
Localization Nuclear
Applications Western Blot : 0.5-1ug/ml
IHC (FFPE) : 1-2ug/ml
Immunofluorescence : 2-4ug/ml
Flow Cytometry : 1-3ug/million cells
Direct ELISA : 0.1-0.5ug/ml
Limitations This SF1 antibody is available for research use only.
Review this product on BioCompare and get a $20 Amazon gift card

Related Products

Description

Splicing factor 1 also known as zinc finger protein 162 (ZFM162) is a protein that in humans is encoded by the SF1 gene. This gene encodes a nuclear pre-mRNA splicing factor. The encoded protein specifically recognizes the intron branch point sequence at the 3' splice site, together with the large subunit of U2 auxiliary factor (U2AF), and is required for the early stages of spliceosome assembly. It also plays a role in nuclear pre-mRNA retention and transcriptional repression. The encoded protein contains an N-terminal U2AF ligand motif, a central hnRNP K homology motif and quaking 2 region which bind a key branch-site adenosine within the branch point sequence, a zinc knuckles domain, and a C-terminal proline-rich domain. Alternative splicing results in multiple transcript variants.

Application Notes

Optimal dilution of the SF1 antibody should be determined by the researcher.

Immunogen

A recombinant human protein corresponding to amino acids R160-Q266 was used as the immunogen for the SF1 antibody.

Storage

After reconstitution, the SF1 antibody can be stored for up to one month at 4oC. For long-term, aliquot and store at -20oC. Avoid repeated freezing and thawing.

Cross
Bulk Quote Request Form
Name*:
Organization*:
Email*:
Phone Number*:
Catalog No.*:
Comments and Specifics(amount, formulation, etc.)*:
Validation code: Captchapackage Image


Can't read the image? click here to refresh.
    *required field

Your bulk quote request has been submitted successfully!

Please contact us if you have any questions.