• Tel: 858.663.9055
  • SeparatorEmail: info@nsjbio.com
  • Tel: 858.663.9055
  • Email: info@nsjbio.com
Home >> Antibodies >> SEZ6L2 Antibody / Seizure 6-like protein 2

SEZ6L2 Antibody / Seizure 6-like protein 2 (FY12622)

  Catalog No Formulation Size Price (USD)  
Image FY12622 Adding 0.2 ml of distilled water will yield a concentration of 500 ug/ml 100 ug 439
Bulk quote request
Immunohistochemical staining of SEZ6L2 using anti-SEZ6L2 antibody. SEZ6L2 was detected in a paraffin-embedded section of mouse brain tissue. Heat mediated antigen retrieval was performed in EDTA buffer (pH 8.0, epitope retrieval solution). The tissue section was blocked with 10% goat serum. The tissue section was then incubated with 2 ug/ml rabbit anti-SEZ6L2 antibody overnight at 4oC. Peroxidase Conjugated Goat Anti-rabbit IgG was used as secondary antibody and incubated for 30 minutes at 37oC. The tissue section was developed using an HRP secondary and DAB substrate.
Western blot analysis of SEZ6L2 using anti-SEZ6L2 antibody. Electrophoresis was performed on a 10% SDS-PAGE gel at 80V (Stacking gel) / 120V (Resolving gel) for 2 hours. Lane 1: human MCF-7 whole cell lysates, Lane 2: rat brain tissue lysates, Lane 3: mouse brain tissue lysates, Lane 4: mouse Neuro-2a whole cell lysates. After electrophoresis, proteins were transferred to a nitrocellulose membrane at 150 mA for 50-90 minutes. Blocked the membrane with 5% non-fat milk/TBS for 1.5 hour at RT. The membrane was incubated with rabbit anti-SEZ6L2 antibody at 0.5 ug/ml overnight at 4oC, then washed with TBS-0.1%Tween 3 times with 5 minutes each and probed with a goat anti-rabbit IgG-HRP secondary antibody at a dilution of 1:5000 for 1.5 hour at RT. The signal was developed using an ECL Plus Western Blotting Substrate. Western blot probed with anti-SEZ6L2 shows a strong band at ~180 kDa, higher than the predicted ~98 kDa, consistent with the mature, heavily N-glycosylated form of SEZ6L2.
Immunohistochemical staining of SEZ6L2 using anti-SEZ6L2 antibody. SEZ6L2 was detected in a paraffin-embedded section of rat brain tissue. Heat mediated antigen retrieval was performed in EDTA buffer (pH 8.0, epitope retrieval solution). The tissue section was blocked with 10% goat serum. The tissue section was then incubated with 2 ug/ml rabbit anti-SEZ6L2 antibody overnight at 4oC. Peroxidase Conjugated Goat Anti-rabbit IgG was used as secondary antibody and incubated for 30 minutes at 37oC. The tissue section was developed using an HRP secondary and DAB substrate.
Immunohistochemical staining of SEZ6L2 using anti-SEZ6L2 antibody. SEZ6L2 was detected in a paraffin-embedded section of rat brain tissue. Heat mediated antigen retrieval was performed in EDTA buffer (pH 8.0, epitope retrieval solution). The tissue section was blocked with 10% goat serum. The tissue section was then incubated with 2 ug/ml rabbit anti-SEZ6L2 antibody overnight at 4oC. Peroxidase Conjugated Goat Anti-rabbit IgG was used as secondary antibody and incubated for 30 minutes at 37oC. The tissue section was developed using an HRP secondary and DAB substrate.
Flow Cytometry analysis of U251 cells using anti-SEZ6L2 antibody. Overlay histogram showing U251 cells stained with (Blue line). The cells were fixed with 4% paraformaldehyde and blocked with 10% normal goat serum. And then incubated with rabbit anti-SEZ6L2 antibody (1 ug/million cells) for 30 min at 20oC. DyLight 488 conjugated goat anti-rabbit IgG (5-10 ug/million cells) was used as secondary antibody for 30 minutes at 20oC. Isotype control antibody (Green line) was rabbit IgG (1 ug/million cells) used under the same conditions. Unlabelled sample without incubation with primary antibody and secondary antibody (Red line) was used as a blank control.
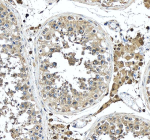
Immunohistochemical staining of SEZ6L2 using anti-SEZ6L2 antibody. SEZ6L2 was detected in a paraffin-embedded section of human testis tissue. Heat mediated antigen retrieval was performed in EDTA buffer (pH 8.0, epitope retrieval solution). The tissue section was blocked with 10% goat serum. The tissue section was then incubated with 2 ug/ml rabbit anti-SEZ6L2 antibody overnight at 4oC. Peroxidase Conjugated Goat Anti-rabbit IgG was used as secondary antibody and incubated for 30 minutes at 37oC. The tissue section was developed using an HRP secondary and DAB substrate.
Availability 1-2 days
Species Reactivity Human, Mouse, Rat
Format Lyophilized
Clonality Polyclonal (rabbit origin)
Isotype Rabbit IgG
Purity Immunogen affinity purified
Buffer Each vial contains 4 mg Trehalose, 0.9 mg NaCl, 0.2 mg Na2HPO4.
UniProt Q6UXD5
Localization Cell membrane, ER
Applications Western Blot : 0.25-0.5ug/ml
Immunohistochemistry : 2-5ug/ml
Flow Cytometry : 1-3ug/million cells
ELISA : 0.1-0.5ug/ml
Limitations This SEZ6L2 antibody is available for research use only.
Review this product on BioCompare and get a $20 Amazon gift card

Description

SEZ6L2 antibody detects Seizure 6-like protein 2, a type I transmembrane glycoprotein implicated in synaptic development, neural signaling, and brain homeostasis. SEZ6L2 belongs to the seizure-related gene family and is involved in regulating excitatory synapse formation and neuronal communication. The SEZ6L2 antibody is widely used in neuroscience, neurodevelopmental, and psychiatric disorder research to study synapse regulation and neuronal signaling pathways.

SEZ6L2 is encoded by the SEZ6L2 gene located on human chromosome 16p11.2. The protein is approximately 922 amino acids long and contains three CUB domains and several complement control protein (CCP) repeats, which facilitate protein interactions in the extracellular environment. SEZ6L2 localizes to the neuronal plasma membrane and is enriched in dendritic and axonal compartments.

The SEZ6L2 antibody detects a 100 kilodalton band by western blot and reveals punctate synaptic staining in neuronal cultures. SEZ6L2 participates in the regulation of synaptic vesicle cycling, neuronal excitability, and calcium-dependent signaling. It also modulates the maturation of AMPA receptors, influencing excitatory synaptic transmission and plasticity. In the central nervous system, SEZ6L2 contributes to circuit development and synaptic pruning.

Mutations or deletions of SEZ6L2 have been linked to autism spectrum disorder, intellectual disability, and schizophrenia, reflecting its critical role in neural connectivity. Dysregulation of SEZ6L2 expression affects neuronal survival and synaptic balance, contributing to altered neurotransmission and cognitive dysfunction. It is also expressed in certain cancers, where it may promote cell adhesion and metastasis.

As a neuronal surface protein involved in communication and network formation, SEZ6L2 serves as a valuable target for studying synaptic biology and neurological disease mechanisms. NSJ Bioreagents provides a validated SEZ6L2 antibody optimized for its applications, supporting research into neuronal connectivity, synaptic regulation, and neurodevelopmental disorders.

Application Notes

Optimal dilution of the SEZ6L2 antibody should be determined by the researcher.

Immunogen

E.coli-derived human SEZ6L2 recombinant protein (Position: E33-I910) was used as the immunogen for the SEZ6L2 antibody.

Storage

After reconstitution, the SEZ6L2 antibody can be stored for up to one month at 4oC. For long-term, aliquot and store at -20oC. Avoid repeated freezing and thawing.

Cross
Bulk Quote Request Form
Name*:
Organization*:
Email*:
Phone Number*:
Catalog No.*:
Comments and Specifics(amount, formulation, etc.)*:
Validation code: Captchapackage Image


Can't read the image? click here to refresh.
    *required field

Your bulk quote request has been submitted successfully!

Please contact us if you have any questions.