• Tel: 858.663.9055
  • SeparatorEmail: info@nsjbio.com
  • Tel: 858.663.9055
  • Email: info@nsjbio.com
Home >> Antibodies >> SETD7 Antibody / SET7

SETD7 Antibody / SET7 (F54627)

  Catalog No Formulation Size Price (USD)  
Image F54627-0.4ML In 1X PBS, pH 7.4, with 0.09% sodium azide 0.4 ml 429
Image
F54627-0.08ML In 1X PBS, pH 7.4, with 0.09% sodium azide 0.08 ml 199
Bulk quote request
Western blot testing of human MCF7 cell lysate with SETD7 antibody. Predicted molecular weight ~41 kDa, commonly observed at 40-60 kDa.
Western blot testing of mouse brain tissue lysate with SETD7 antibody. Predicted molecular weight ~41 kDa, commonly observed at 40-60 kDa.
Western blot testing of 1) non-transfected and 2) transfected 293 cell lysate with SETD7 antibody. Predicted molecular weight ~41 kDa, commonly observed at 40-60 kDa.
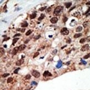
IHC testing of FFPE human cancer tissue with SETD7 antibody. HIER: steam section in pH6 citrate buffer for 20 min and allow to cool prior to staining.
Availability 1-3 business days
Species Reactivity Human, Mouse
Format Purified
Clonality Polyclonal (rabbit origin)
Isotype Rabbit Ig
Purity Antigen affinity purified
UniProt Q8WTS6
Localization Nuclear
Applications Western Blot : 1:500-1:2000
Immunohistochemistry (FFPE) : 1:25
Limitations This SETD7 antibody is available for research use only.
Review this product on BioCompare and get a $20 Amazon gift card

Description

Similar to acetylation and phosphorylation, histone methylation at the N-terminal tail has emerged as an important role in regulating chromatin dynamics and gene activity. Histone methylation occurs on arginine and lysine residues and is catalyzed by two families of proteins, the protein arginine methyltransferase family and the SET-domain-containing methyltransferase family. Five members have been identified in the arginine methyltransferase family. About 27 are grouped into the SET-domain family, and another 17 make up the PR domain family that is related to the SET domain family. The retinoblastoma protein-interacting zinc finger geneRIZ1 is a tumor suppressor gene and a FOUNDING member of the PR domain family. RIZ1 inactivation is commonly found in many types of human cancers and occurs through loss of mRNA expression, frame shift mutation, chromosomal deletion, and missense mutation. RIZ1 is also a tumor susceptibility gene in mice. The loss of RIZ1 mRNA in human cancers was shown to associate with DNA methylation of its promoter CpG island. Methylation of the RIZ1 promoter strongly correlated with lost or decreased RIZ1 mRNA expression in breast, liver, colon, and lung cancer cell lines as well as in liver cancer tissues.

Application Notes

The stated application concentrations are suggested starting points. Titration of the SETD7 antibody may be required due to differences in protocols and secondary/substrate sensitivity.

Immunogen

A portion of amino acids 159-189 from the human protein was used as the immunogen for the SETD7 antibody.

Storage

Aliquot the SETD7 antibody and store frozen at -20oC or colder. Avoid repeated freeze-thaw cycles.

Cross
Bulk Quote Request Form
Name*:
Organization*:
Email*:
Phone Number*:
Catalog No.*:
Comments and Specifics(amount, formulation, etc.)*:
Validation code: Captchapackage Image


Can't read the image? click here to refresh.
    *required field

Your bulk quote request has been submitted successfully!

Please contact us if you have any questions.