• Tel: 858.663.9055
  • SeparatorEmail: info@nsjbio.com
  • Tel: 858.663.9055
  • Email: info@nsjbio.com
Home >> Antibodies >> Serum Amyloid P Antibody

Serum Amyloid P Antibody (R31453)

  Catalog No Formulation Size Price (USD)  
Image R31453 0.5mg/ml if reconstituted with 0.2ml sterile DI water 100 ug 439
Bulk quote request
Western blot testing of 1) rat liver and 2) mouse liver tissue with Serum Amyloid P antibody. Predicted molecular weight ~25 kDa.
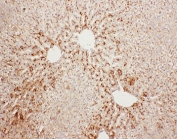
IHC-P: Serum Amyloid P antibody testing of rat liver tissue. HIER: steamed with pH6 citrate buffer.
Availability 1-3 business days
Species Reactivity Mouse, Rat
Format Antigen affinity purified
Clonality Polyclonal (rabbit origin)
Isotype Rabbit IgG
Purity Antigen affinity
Buffer Lyophilized from 1X PBS with 2.5% BSA and 0.025% sodium azide
Gene ID 29339
Applications Western Blot : 0.5-1ug/ml
IHC (FFPE) : 0.5-1ug/ml
Limitations This Serum Amyloid P antibody is available for research use only.
Review this product on BioCompare and get a $20 Amazon gift card

Related Products

Description

Serum Amyloid P (SAP), also known as PTX2 or APCS, is the identical serum form of amyloid P component (AP), a 25kDa pentameric protein first identified as the pentagonal constituent of in vivo pathological deposits called amyloid. The binding of Serum Amyloid P to proteins in the pathological amyloid cross-beta fold suggests its possible role as a chaperone. This protein is also thought to control the degradation of chromatin.

Application Notes

Titration of the Serum Amyloid P antibody may be required due to differences in protocols and secondary/substrate sensitivity.

Immunogen

Rat partial recombinant protein (AA 21-228) was used as the immunogen for this Serum Amyloid P antibody.

Storage

The lyophilized Serum Amyloid P antibody can be stored at 4oC to -20oC. After reconstitution, aliquot and store at -20oC. Avoid repeated freeze/thaws.

Cross
Bulk Quote Request Form
Name*:
Organization*:
Email*:
Phone Number*:
Catalog No.*:
Comments and Specifics(amount, formulation, etc.)*:
Validation code: Captchapackage Image


Can't read the image? click here to refresh.
    *required field

Your bulk quote request has been submitted successfully!

Please contact us if you have any questions.