• Tel: 858.663.9055
  • SeparatorEmail: info@nsjbio.com
  • Tel: 858.663.9055
  • Email: info@nsjbio.com
Home >> Antibodies >> Serum Amyloid A Antibody / SAA1 + SAA2

Serum Amyloid A Antibody / SAA1 + SAA2 [clone ABAE-19] (RQ5313)

  Catalog No Formulation Size Price (USD)  
Image RQ5313 Antibody in PBS with 0.02% sodium azide, 50% glycerol and 0.4-0.5mg/ml BSA 100 ul 439
Microvalidated Rab Mono Image
Bulk quote request
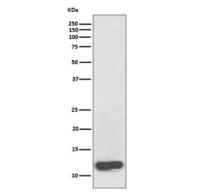
Western blot testing of human plasma lysate with Serum Amyloid A antibody. Predicted molecular weight ~13 kDa.
Availability 1-2 weeks
Species Reactivity Human
Format Purified
Clonality Rabbit Monoclonal
Isotype Rabbit IgG
Clone Name ABAE-19
Purity Affinity purified
UniProt P0DJI8
Applications Western Blot : 1:500-1:2000
Limitations This Serum Amyloid A antibody is available for research use only.
Review this product on BioCompare and get a $20 Amazon gift card

Related Products

Description

Serum amyloid A (SAA) proteins are a family of apolipoproteins associated with high-density lipoprotein (HDL) in plasma. Different isoforms of SAA are expressed constitutively (constitutive SAAs) at different levels or in response to inflammatory stimuli (acute phase SAAs). These proteins are produced predominantly by the liver. The conservation of these proteins throughout invertebrates and vertebrates suggests that SAAs play a highly essential role in all animals. [Wiki]

Application Notes

Optimal dilution of the Serum Amyloid A antibody should be determined by the researcher.

Immunogen

A synthetic peptide specific to human Serum Amyloid A / SAA1 was used as the immunogen for the Serum Amyloid A antibody.

Storage

Store the Serum Amyloid A antibody at -20oC.

Cross
Bulk Quote Request Form
Name*:
Organization*:
Email*:
Phone Number*:
Catalog No.*:
Comments and Specifics(amount, formulation, etc.)*:
Validation code: Captchapackage Image


Can't read the image? click here to refresh.
    *required field

Your bulk quote request has been submitted successfully!

Please contact us if you have any questions.