• Tel: 858.663.9055
  • SeparatorEmail: info@nsjbio.com
  • Tel: 858.663.9055
  • Email: info@nsjbio.com
Home >> Antibodies >> Serum Albumin Antibody / Albumin

Serum Albumin Antibody / Albumin [clone AOHG-1] (RQ5011)

  Catalog No Formulation Size Price (USD)  
Image RQ5011 Antibody in PBS with 0.02% sodium azide, 50% glycerol and 0.4-0.5mg/ml BSA 100 ul 439
Microvalidated Recrabbitmono
Bulk quote request
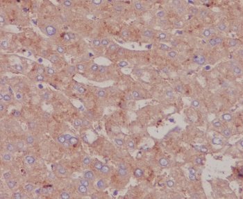
IHC staining of FFPE human liver tissue with Serum Albumin antibody. HIER: boil tissue sections in pH8 EDTA for 20 min and allow to cool before testing.
Western blot testing of 1) rat blood, 2) rat liver, 3) mouse blood and 4) mouse liver tissue lysate with Serum Albumin antibody. Predicted molecular weight ~66 kDa.
Availability 1-2 weeks
Species Reactivity Human, Mouse, Rat
Format Purified
Clonality Recombinant Rabbit Monoclonal
Isotype Rabbit IgG
Clone Name AOHG-1
Purity Affinity purified
UniProt P02769
Applications Western Blot : 1:500-1:2000
Immunohistochemistry (FFPE) : 1:50-1:200
Limitations This Serum Albumin antibody is available for research use only.
Review this product on BioCompare and get a $20 Amazon gift card

Related Products

Description

Serum Albumin is the most abundant plasma protein in mammals, produced primarily by the liver. It plays a central role in maintaining oncotic pressure and serves as a carrier protein for hormones, fatty acids, bilirubin, and a wide variety of drugs and metabolites.

In addition to its transport functions, Serum Albumin contributes to pH buffering and antioxidant activity. Altered Serum Albumin levels are associated with liver disease, kidney dysfunction, malnutrition, and systemic inflammation, making it a clinically important biomarker and research target.

Using a high-quality Serum Albumin antibody enables accurate detection in applications such as western blot, immunohistochemistry, and ELISA. A Serum Albumin antibody from NSJ Bioreagents ensures reliable performance for studies involving protein transport, liver biology, and clinical biomarker research. Selecting the right Serum Albumin antibody is essential for producing consistent and reproducible results.

Application Notes

Optimal dilution of the Serum Albumin antibody should be determined by the researcher.

Immunogen

A synthetic peptide specific to Serum Albumin / ALB was used as the immunogen for the Serum Albumin antibody.

Storage

Store the Serum Albumin antibody at -20oC.

Cross
Bulk Quote Request Form
Name*:
Organization*:
Email*:
Phone Number*:
Catalog No.*:
Comments and Specifics(amount, formulation, etc.)*:
Validation code: Captchapackage Image


Can't read the image? click here to refresh.
    *required field

Your bulk quote request has been submitted successfully!

Please contact us if you have any questions.