• Tel: 858.663.9055
  • SeparatorEmail: info@nsjbio.com
  • Tel: 858.663.9055
  • Email: info@nsjbio.com
Home >> Antibodies >> SERPINB2 Antibody

SERPINB2 Antibody (R31768)

  Catalog No Formulation Size Price (USD)  
Image R31768 0.5mg/ml if reconstituted with 0.2ml sterile DI water 100 ug 439
Bulk quote request
Western blot testing of SERPINB2 antibody and human placenta lysate. Predicted/observed size ~43KD
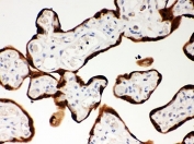
IHC-P: SERPINB2 antibody testing of human placenta tissue
Availability 1-3 business days
Species Reactivity Human
Format Antigen affinity purified
Clonality Polyclonal (rabbit origin)
Isotype Rabbit IgG
Purity Antigen affinity
Buffer Lyophilized from 1X PBS with 2.5% BSA and 0.025% sodium azide
Gene ID 5055
Applications Western Blot : 0.5-1ug/ml
IHC (FFPE) : 0.5-1ug/ml
Limitations This SERPINB2 antibody is available for research use only.
Review this product on BioCompare and get a $20 Amazon gift card

Description

SERPINB2 is also known as PAI or PAI2. It is a coagulation factor that inactivates tPA and Urokinase. It is present in most cells, especially monocytes/macrophages. The protein exists in two forms, a 60-kDa extracellular glycosylated form and a 43-kDa intracellular form. It is present only at detectable quantities in blood during pregnancy, as it is produced by the placenta, and may explain partially the increased rate of thrombosisduring pregnancy. The majority of expressed SERPINB2 remains unsecreted due to the presence of an inefficient internal signal peptide.

Application Notes

The stated application concentrations are suggested starting amounts. Titration of the SERPINB2 antibody may be required due to differences in protocols and secondary/substrate sensitivity.

Immunogen

Human partial recombinant protein (AA 1-180) was used as the immunogen for this SERPINB2 antibody.

Storage

After reconstitution, the SERPINB2 antibody can be stored for up to one month at 4oC. For long-term, aliquot and store at -20oC. Avoid repeated freezing and thawing.

Cross
Bulk Quote Request Form
Name*:
Organization*:
Email*:
Phone Number*:
Catalog No.*:
Comments and Specifics(amount, formulation, etc.)*:
Validation code: Captchapackage Image


Can't read the image? click here to refresh.
    *required field

Your bulk quote request has been submitted successfully!

Please contact us if you have any questions.