• Tel: 858.663.9055
  • SeparatorEmail: info@nsjbio.com
  • Tel: 858.663.9055
  • Email: info@nsjbio.com
Home >> Antibodies >> SERPINA6 Antibody

SERPINA6 Antibody (F54272)

  Catalog No Formulation Size Price (USD)  
Image F54272-0.4ML In 1X PBS, pH 7.4, with 0.09% sodium azide 0.4 ml 429
Image
F54272-0.08ML In 1X PBS, pH 7.4, with 0.09% sodium azide 0.08 ml 199
Bulk quote request
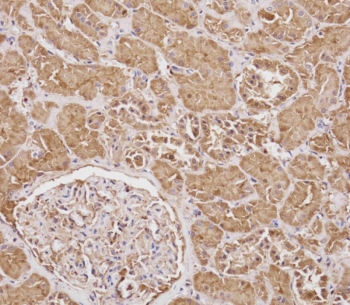
IHC testing of FFPE human kidney tissue with SERPINA6 antibody. HIER: steam section in pH6 citrate buffer for 20 min and allow to cool prior to staining.
IHC testing of FFPE human liver tissue with SERPINA6 antibody. HIER: steam section in pH6 citrate buffer for 20 min and allow to cool prior to staining.
Immunofluorescent staining of fixed and permeabilized human 293 cells with SERPINA6 antibody (green) and DAPI nuclear stain (blue).
Western blot testing of human plasma lysate with SERPINA6 antibody. Expected molecular weight: ~45/50-60 kDa (unmodified/glycosylated).
Western blot testing of human 1) T-47D and 2) HepG2 lysate with SERPINA6 antibody. Expected molecular weight: ~45/50-60 kDa (unmodified/glycosylated).
Availability 1-3 business days
Species Reactivity Human
Format Purified
Clonality Polyclonal (rabbit origin)
Isotype Rabbit Ig
Purity Antigen affinity purified
UniProt P08185
Applications Western Blot : 1:500-1:2000
Immunohistochemistry (FFPE) : 1:25
Immunofluorescence : 1:25
Limitations This SERPINA6 antibody is available for research use only.
Review this product on BioCompare and get a $20 Amazon gift card

Related Products

Description

This gene encodes an alpha-globulin protein with corticosteroid-binding properties. This is the major transport protein for glucorticoids and progestins in the blood of most vertebrates. The gene localizes to a chromosomal region containing several closely related serine protease inhibitors which may have evolved by duplication events.

Application Notes

The stated application concentrations are suggested starting points. Titration of the SERPINA6 antibody may be required due to differences in protocols and secondary/substrate sensitivity.

Immunogen

A portion of amino acids 197-225 from the human protein were used as the immunogen for the SERPINA6 antibody.

Storage

Aliquot the SERPINA6 antibody and store frozen at -20oC or colder. Avoid repeated freeze-thaw cycles.

Cross
Bulk Quote Request Form
Name*:
Organization*:
Email*:
Phone Number*:
Catalog No.*:
Comments and Specifics(amount, formulation, etc.)*:
Validation code: Captchapackage Image


Can't read the image? click here to refresh.
    *required field

Your bulk quote request has been submitted successfully!

Please contact us if you have any questions.