• Tel: 858.663.9055
  • SeparatorEmail: info@nsjbio.com
  • Tel: 858.663.9055
  • Email: info@nsjbio.com
Home >> Antibodies >> SERPINA1 Antibody / Alpha 1 Antitrypsin / AAT

SERPINA1 Antibody / Alpha 1 Antitrypsin / AAT [clone AAT/6323] (V4356)

  Catalog No Formulation Size Price (USD)  
Image V4356-100UG 0.2 mg/ml in 1X PBS with 0.1 mg/ml BSA (US sourced), 0.05% sodium azide 100 ug 539
Image
V4356-20UG 0.2 mg/ml in 1X PBS with 0.1 mg/ml BSA (US sourced), 0.05% sodium azide 20 ug 249
Image
V4356SAF-100UG 1 mg/ml in 1X PBS; BSA free, sodium azide free 100 ug 539
Microvalidated
Bulk quote request
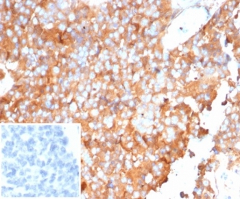
IHC staining of FFPE human ovarian carcinoma tissue with SERPINA1 antibody (clone AAT/6323). Inset: PBS used in place of primary Ab (secondary Ab negative control). HIER: boil tissue sections in pH 9 10mM Tris with 1mM EDTA for 20 min and allow to cool before testing.
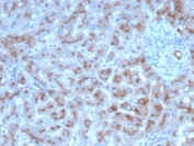
IHC staining of FFPE human liver in colon with SERPINA1 antibody (AAT/6323). HIER: boil tissue sections in pH 9 10mM Tris with 1mM EDTA for 20 min and allow to cool before testing.
Analysis of a HuProt(TM) microarray containing more than 19,000 full-length human proteins using SERPINA1 antibody (AAT/6323). Z- and S- Score: The Z-score represents the strength of a signal that a monoclonal antibody (in combination with a fluorescently-tagged anti-IgG secondary antibody) produces when binding to a particular protein on the HuProt(TM) array. Z-scores are described in units of standard deviations (SD's) above the mean value of all signals generated on that array. If targets on HuProt(TM) are arranged in descending order of the Z-score, the S-score is the difference (also in units of SD's) between the Z-score. S-score therefore represents the relative target specificity of a mAb to its intended target. A mAb is considered to specific to its intended target, if the mAb has an S-score of at least 2.5. For example, if a mAb binds to protein X with a Z-score of 43 and to protein Y with a Z-score of 14, then the S-score for the binding of that mAb to protein X is equal to 29.
SDS-PAGE analysis of purified, BSA-free SERPINA1 antibody (AAT/6323) as confirmation of integrity and purity.
Availability 1-3 business days
Species Reactivity Human
Format Purified
Clonality Monoclonal (mouse origin)
Isotype Mouse IgG1, kappa
Clone Name AAT/6323
Purity Protein A/G affinity
UniProt P01009
Localization Cytoplasm
Applications Immunohistochemistry (FFPE) : 1-2ug/ml for 30 minutes at RT
Limitations This SERPINA1 antibody is available for research use only.
Review this product on BioCompare and get a $20 Amazon gift card

Related Products

Description

It recognizes a protein of 54kDa, which is identified antitrypsin (AAT). The immunohistochemical staining of AAT is useful in identification of benign and malignant hepatic tumors and yolk sac carcinomas. Positive staining for AAT is also used in detection of benign and malignant lesions of histiocytic nature. This antibody is may also useful tool in the screening of patients with cryptogenic cirrhosis or other forms of liver disease with fibrosis of uncertain origin.

Application Notes

Optimal dilution of the SERPINA1 antibody should be determined by the researcher.

Immunogen

A recombinant partial protein sequence (within amino acids 200-400) from the human protein was used as the immunogen for the SERPINA1 antibody.

Storage

Aliquot the SERPINA1 antibody and store frozen at -20oC or colder. Avoid repeated freeze-thaw cycles.

Cross
Bulk Quote Request Form
Name*:
Organization*:
Email*:
Phone Number*:
Catalog No.*:
Comments and Specifics(amount, formulation, etc.)*:
Validation code: Captchapackage Image


Can't read the image? click here to refresh.
    *required field

Your bulk quote request has been submitted successfully!

Please contact us if you have any questions.