• Tel: 858.663.9055
  • SeparatorEmail: info@nsjbio.com
  • Tel: 858.663.9055
  • Email: info@nsjbio.com
Home >> Antibodies >> Serotonin Receptor 3A Antibody / HTR3A

Serotonin Receptor 3A Antibody / HTR3A (R34121)

  Catalog No Formulation Size Price (USD)  
Image R34121-100UG 0.5 mg/ml in 1X TBS, pH7.3, with 0.5% BSA (US sourced) and 0.02% sodium azide 100 ug 449
Bulk quote request
Western blot testing of human colon lysate with Serotonin receptor 3A antibody at 0.3ug/ml. Both the expected 55 kDa band and the additional ~200 kDa band block with the addition of immunzing peptide.
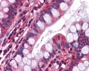
IHC testing of FFPE human small intestine tissue with Serotonin Receptor 3A antibody at 3.75ug/ml. Required HIER: steamed antigen retrieval with pH6 citrate buffer; AP-staining.
Availability 1-3 business days
Species Reactivity Human, Rat
Format Antigen affinity purified
Clonality Polyclonal (goat origin)
Isotype Goat Ig
Purity Antigen affinity
Gene ID 3359
Localization Plasma membrane
Applications Western Blot : 0.3-1ug/ml
IHC (FFPE) : 3.75ug/ml
ELISA (peptide) LOD : 1:128000
Limitations This Serotonin receptor 3A antibody is available for research use only.
Review this product on BioCompare and get a $20 Amazon gift card

Description

Additional name(s) for this target protein: 5-HT3A, 5-HT3R; HTR3A

Application Notes

Optimal dilution of the Serotonin receptor 3A antibody should be determined by the researcher.

1. Reported to specifically stain rat neurons.

Immunogen

Amino acids GPQDFEKSPRDR were used as the immunogen for this Serotonin receptor 3A antibody.

Storage

Aliquot and store the Serotonin receptor 3A antibody at -20oC.

Cross
Bulk Quote Request Form
Name*:
Organization*:
Email*:
Phone Number*:
Catalog No.*:
Comments and Specifics(amount, formulation, etc.)*:
Validation code: Captchapackage Image


Can't read the image? click here to refresh.
    *required field

Your bulk quote request has been submitted successfully!

Please contact us if you have any questions.