• Tel: 858.663.9055
  • SeparatorEmail: info@nsjbio.com
  • Tel: 858.663.9055
  • Email: info@nsjbio.com
Home >> Antibodies >> Semaphorin 6A Antibody / SEMA6A

Semaphorin 6A Antibody / SEMA6A (RQ5921)

  Catalog No Formulation Size Price (USD)  
Image RQ5921 0.5mg/ml if reconstituted with 0.2ml sterile DI water 100 ug 439
Bulk quote request
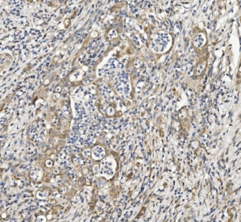
IHC staining of FFPE human rectal cancer with Semaphorin 6A antibody. HIER: boil tissue sections in pH8 EDTA for 20 min and allow to cool before testing.
Western blot testing of human 1) HEK293, 2) HeLa, 3) Raji, 4) U-2 OS, 5) Jurkat, 6) Caco-2, 7) rat brain, 8) rat PC-12, 9) mouse brain and 10) mouse RAW264.7 with Semaphorin 6A antibody. Predicted molecular weight ~114 kDa.
Flow cytometry testing of human HepG2 cells with Semaphorin 6A antibody at 1ug/million cells (blocked with goat sera); Red=cells alone, Green=isotype control, Blue= SEMA6A antibody.
Availability 1-3 business days
Species Reactivity Human, Mouse, Rat
Format Antigen affinity purified
Clonality Polyclonal (rabbit origin)
Isotype Rabbit IgG
Purity Affinity purified
Buffer Lyophilized from 1X PBS with 2% Trehalose and 0.025% sodium azide
UniProt Q9H2E6
Applications Western Blot : 0.5-1ug/ml
Immunohistochemistry : 1-2ug/ml
Flow Cytometry : 1-3ug/million cells
Direct ELISA : 0.1-0.5ug/ml
Limitations This Semaphorin 6A antibody is available for research use only.
Review this product on BioCompare and get a $20 Amazon gift card

Description

SEMA6A belongs to a subfamily characterized by an extracellular semaphorin domain, a transmembrane domain, and a long cytoplasmic tail. Members of this class can repel sympathetic and dorsal root ganglion axons in vitro, consistent with a traditional role as guidance signals. However, the length of the cytoplasmic tail, which includes an EVL-binding site in SEMA6A and an Src-binding site in SEMA6B, suggests that these semaphorins may also function as receptors. SEMA6A is expressed in developing neural tissue and is required for proper development of the thalamocortical projection. SEMA6A directly links the Ena/VASP and the semaphorin protein families since the SEMA6A protein is capable of selective binding to the protein EVL (Ena/VASP-like protein).

Application Notes

Optimal dilution of the Semaphorin 6A antibody should be determined by the researcher.

Immunogen

Recombinant human protein (amino acids H31-N306) was used as the immunogen for the Semaphorin 6A antibody.

Storage

After reconstitution, the Semaphorin 6A antibody can be stored for up to one month at 4oC. For long-term, aliquot and store at -20oC. Avoid repeated freezing and thawing.

Cross
Bulk Quote Request Form
Name*:
Organization*:
Email*:
Phone Number*:
Catalog No.*:
Comments and Specifics(amount, formulation, etc.)*:
Validation code: Captchapackage Image


Can't read the image? click here to refresh.
    *required field

Your bulk quote request has been submitted successfully!

Please contact us if you have any questions.