• Tel: 858.663.9055
  • SeparatorEmail: info@nsjbio.com
  • Tel: 858.663.9055
  • Email: info@nsjbio.com
Home >> Antibodies >> Semaphorin-4F Antibody / SEMA4F

Semaphorin-4F Antibody / SEMA4F (RQ7620)

  Catalog No Formulation Size Price (USD)  
Image RQ7620 0.5mg/ml if reconstituted with 0.2ml sterile DI water 100 ug 439
Bulk quote request
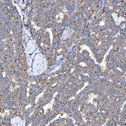
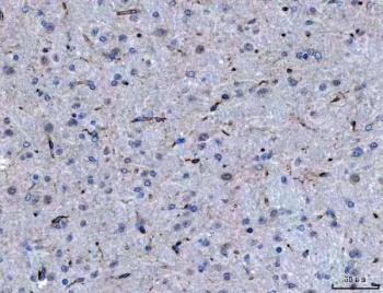
IHC staining of FFPE mouse brain tissue with Semaphorin-4F antibody. HIER: boil tissue sections in pH8 EDTA for 20 min and allow to cool before testing.
IHC staining of FFPE rat brain tissue with Semaphorin-4F antibody. HIER: boil tissue sections in pH8 EDTA for 20 min and allow to cool before testing.
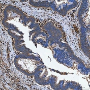
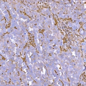
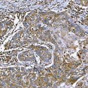
IHC staining of FFPE human ovarian serous cancer tissue with Semaphorin-4F antibody. HIER: boil tissue sections in pH8 EDTA for 20 min and allow to cool before testing.
IHC staining of FFPE human breast cancer tissue with Semaphorin-4F antibody. HIER: boil tissue sections in pH8 EDTA for 20 min and allow to cool before testing.
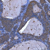
IHC staining of FFPE human thyroid cancer tissue with Semaphorin-4F antibody. HIER: boil tissue sections in pH8 EDTA for 20 min and allow to cool before testing.
IHC staining of FFPE human liver cancer tissue with Semaphorin-4F antibody. HIER: boil tissue sections in pH8 EDTA for 20 min and allow to cool before testing.
IHC staining of FFPE human lung adenocarcinoma tissue with Semaphorin-4F antibody. HIER: boil tissue sections in pH8 EDTA for 20 min and allow to cool before testing.
IHC staining of FFPE human colon adenocarcinoma tissue with Semaphorin-4F antibody. HIER: boil tissue sections in pH8 EDTA for 20 min and allow to cool before testing.
IHC staining of FFPE human larynx squamous cell carcinoma tissue with Semaphorin-4F antibody. HIER: boil tissue sections in pH8 EDTA for 20 min and allow to cool before testing.
Immunofluorescent staining of FFPE human U-2 OS cells with Semaphorin-4F antibody (red) and DAPI nuclear stain (blue). HIER: steam section in pH6 citrate buffer for 20 min.
Western blot testing of 1) human U-87 MG, 2) rat lung, 3) rat C6 and 4) mouse lung tissue lysate with Semaphorin-4F antibody. Predicted molecular weight ~66 kDa but may be observed at higher molecular weights due to glycosylation.
Flow cytometry testing of human Daudi cells with Semaphorin-4F antibody at 1ug/million cells (blocked with goat sera); Red=cells alone, Green=isotype control, Blue= Semaphorin-4F antibody.
Availability 1-3 business days
Species Reactivity Human, Mouse, Rat
Format Antigen affinity purified
Clonality Polyclonal (rabbit origin)
Isotype Rabbit IgG
Purity Antigen affinity purified
Buffer Lyophilized from 1X PBS with 2% Trehalose
UniProt O95754
Applications Western Blot : 0.5-1ug/ml
Immunohistochemistry (FFPE) : 2-5ug/ml
Flow Cytometry : 1-3ug/million cells
Immunofluorescence : 5ug/ml
Direct ELISA : 0.1-0.5ug/ml
Limitations This Semaphorin-4F antibody is available for research use only.
Review this product on BioCompare and get a $20 Amazon gift card

Description

Semaphorin-4F is a protein that in humans is encoded by the SEMA4F gene. This gene encodes a transmembrane class IV semaphorin family protein, which plays a role in neural development. This gene may be involved in neurogenesis in prostate cancer, the development of neurofibromas, and breast cancer tumorigenesis. Alternative splicing results in multiple transcript variants.

Application Notes

Optimal dilution of the Semaphorin-4F antibody should be determined by the researcher.

Immunogen

E. coli-derived recombinant human protein (amino acids R35-E574) was used as the immunogen for the Semaphorin-4F antibody.

Storage

After reconstitution, the Semaphorin-4F antibody can be stored for up to one month at 4oC. For long-term, aliquot and store at -20oC. Avoid repeated freezing and thawing.

Cross
Bulk Quote Request Form
Name*:
Organization*:
Email*:
Phone Number*:
Catalog No.*:
Comments and Specifics(amount, formulation, etc.)*:
Validation code: Captchapackage Image


Can't read the image? click here to refresh.
    *required field

Your bulk quote request has been submitted successfully!

Please contact us if you have any questions.