• Tel: 858.663.9055
  • SeparatorEmail: info@nsjbio.com
  • Tel: 858.663.9055
  • Email: info@nsjbio.com
Home >> Antibodies >> SELP Antibody / CD62P / P-Selectin

SELP Antibody / CD62P / P-Selectin [clone AAEC-19] (RQ5466)

  Catalog No Formulation Size Price (USD)  
Image RQ5466 Antibody in PBS with 0.02% sodium azide, 50% glycerol and 0.4-0.5mg/ml BSA 100 ul 439
Microvalidated Rab Mono Image
Bulk quote request
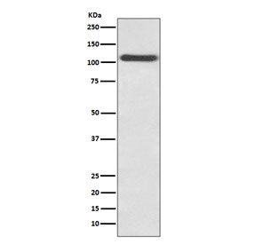
Western blot testing of HUVEC lysate with SELP antibody. Expected molecular weight: 86-140 kDa depending on glycosylation level.
Availability 1-2 weeks
Species Reactivity Human
Format Purified
Clonality Rabbit Monoclonal
Isotype Rabbit IgG
Clone Name AAEC-19
Purity Affinity purified
UniProt P16109
Applications Western Blot : 1:500-1:2000
Limitations This SELP antibody is available for research use only.
Review this product on BioCompare and get a $20 Amazon gift card

Related Products

Description

The SELP gene encodes a 140 kDa protein that is stored in the alpha-granules of platelets and Weibel-Palade bodies of endothelial cells. This protein redistributes to the plasma membrane during platelet activation and degranulation and mediates the interaction of activated endothelial cells or platelets with leukocytes. The membrane protein is a calcium-dependent receptor that binds to sialylated forms of Lewis blood group carbohydrate antigens on neutrophils and monocytes. [RefSeq]

Application Notes

Optimal dilution of the SELP antibody should be determined by the researcher.

Immunogen

A synthetic peptide specific to human CD62P / SELP was used as the immunogen for the SELP antibody.

Storage

Store the SELP antibody at -20oC.

Cross
Bulk Quote Request Form
Name*:
Organization*:
Email*:
Phone Number*:
Catalog No.*:
Comments and Specifics(amount, formulation, etc.)*:
Validation code: Captchapackage Image


Can't read the image? click here to refresh.
    *required field

Your bulk quote request has been submitted successfully!

Please contact us if you have any questions.