• Tel: 858.663.9055
  • SeparatorEmail: info@nsjbio.com
  • Tel: 858.663.9055
  • Email: info@nsjbio.com
Home >> Antibodies >> SEC14L3 Antibody / TAP2

SEC14L3 Antibody / TAP2 (RQ6436)

  Catalog No Formulation Size Price (USD)  
Image RQ6436 0.5mg/ml if reconstituted with 0.2ml sterile DI water 100 ug 439
Bulk quote request
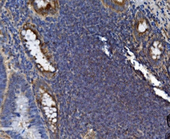
IHC staining of FFPE human rectal cancer tissue with SEC14L3 antibody. HIER: boil tissue sections in pH8 EDTA for 20 min and allow to cool before testing.
IHC staining of FFPE human gallbladder adenocarcinoma tissue with SEC14L3 antibody. HIER: boil tissue sections in pH8 EDTA for 20 min and allow to cool before testing.
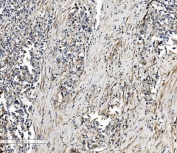
IHC staining of FFPE human breast cancer tissue with SEC14L3 antibody. HIER: boil tissue sections in pH8 EDTA for 20 min and allow to cool before testing.
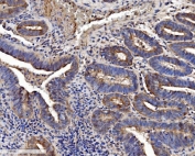
IHC staining of FFPE human gastric cancer tissue with SEC14L3 antibody. HIER: boil tissue sections in pH8 EDTA for 20 min and allow to cool before testing.
IHC staining of FFPE rat testis tissue with SEC14L3 antibody. HIER: boil tissue sections in pH8 EDTA for 20 min and allow to cool before testing.
Immunofluorescent staining of FFPE human HeLa cells with SEC14L3 antibody (green) and DAPI nuclear stain (blue). HIER: steam section in pH6 citrate buffer for 20 min.
Western blot testing of 1) human HEK293, 2) human U-87 MG, 3) human PC-3, 4) rat lung, 5) rat liver, 6) mouse lung and 7) mouse liver tissue lysate with SEC14L3 antibody. Predicted molecular weight: 37-46 kDa (multiple isoforms).
Flow cytometry testing of human U937 cells with SEC14L3 antibody at 1ug/million cells (blocked with goat sera); Red=cells alone, Green=isotype control, Blue= SEC14L3 antibody.
Availability 1-3 business days
Species Reactivity Human, Mouse, Rat
Format Purified
Clonality Polyclonal (rabbit origin)
Isotype Rabbit IgG
Purity Antigen affinity purified
Buffer Lyophilized from 1X PBS with 2% Trehalose
UniProt Q9UDX4
Applications Western Blot : 0.5-1ug/ml
Immunohistochemistry (FFPE) : 2-5ug/ml
Immunofluorescence (FFPE) : 5ug/ml
Flow Cytometry : 1-3ug/million cells
Direct ELISA : 0.1-0.5ug/ml
Limitations This SEC14L3 antibody is available for research use only.
Review this product on BioCompare and get a $20 Amazon gift card

Related Products

Description

The protein encoded by this gene is highly similar to the protein encoded by the Saccharomyces cerevisiae SEC14 gene. The SEC14 protein is a phophatidylinositol transfer protein that is essential for biogenesis of Golgi-derived transport vesicles, and thus is required for the export of yeast secretory proteins from the Golgi complex. The specific function of this protein has not yet been determined. Alternatively spliced transcript variants encoding multiple isoforms have been observed for this gene.

Application Notes

Optimal dilution of the SEC14L3 antibody should be determined by the researcher.

Immunogen

Recombinant human protein (amino acids R4-V400) was used as the immunogen for the SEC14L3 antibody.

Storage

After reconstitution, the SEC14L3 antibody can be stored for up to one month at 4oC. For long-term, aliquot and store at -20oC. Avoid repeated freezing and thawing.

Cross
Bulk Quote Request Form
Name*:
Organization*:
Email*:
Phone Number*:
Catalog No.*:
Comments and Specifics(amount, formulation, etc.)*:
Validation code: Captchapackage Image


Can't read the image? click here to refresh.
    *required field

Your bulk quote request has been submitted successfully!

Please contact us if you have any questions.