• Tel: 858.663.9055
  • SeparatorEmail: info@nsjbio.com
  • Tel: 858.663.9055
  • Email: info@nsjbio.com
Home >> Antibodies >> SDHC Antibody / Succinate dehydrogenase complex subunit C

SDHC Antibody / Succinate dehydrogenase complex subunit C [clone 32S26] (FY12325)

  Catalog No Formulation Size Price (USD)  
Image FY12325 Rabbit IgG in phosphate buffered saline, pH 7.4, 150mM NaCl, 0.02% sodium azide and 50% glycerol, 0.4-0.5mg/ml BSA 100 ul 439
Microvalidated Recrabbitmono
Bulk quote request
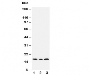
All lanes use the SDHC antibody at 1:6K dilution for 1 hour at room temperature. Predicted molecular weight: 12-19 kDa (multiple isoforms). Bands seen at higher molecular weights may represent SDHC heterodimers.
All lanes use the SDHC antibody at 1:6K dilution for 1 hour at room temperature. Predicted molecular weight: 12-19 kDa (multiple isoforms). Bands seen at higher molecular weights may represent SDHC heterodimers.
Availability 2-3 weeks
Species Reactivity Human, Mouse, Rat
Format Liquid
Clonality Recombinant Rabbit Monoclonal
Isotype Rabbit IgG
Clone Name 32S26
Purity Affinity-chromatography
Buffer Rabbit IgG in phosphate buffered saline, pH 7.4, 150mM NaCl, 0.02% sodium azide and 50% glycerol, 0.4-0.5mg/ml BSA.
UniProt Q99643
Applications Western Blot : 1:500-1:2000
Immunohistochemistry : 1:50-1:200
Limitations This SDHC antibody is available for research use only.
Review this product on BioCompare and get a $20 Amazon gift card

Related Products

  • Applications : WB, IHC-P
    Reactivity : Human, Mouse, Rat

Description

SDHC antibody is designed to detect succinate dehydrogenase complex subunit C, a critical component of both the mitochondrial respiratory chain and the tricarboxylic acid (TCA) cycle. SDHC is one of the four subunits of succinate dehydrogenase (complex II), which catalyzes the oxidation of succinate to fumarate in the TCA cycle while transferring electrons to the ubiquinone pool in the electron transport chain. This dual function makes SDHC a central player in cellular energy production, linking metabolic pathways to oxidative phosphorylation.

SDHC antibody is widely used in studies of mitochondrial biology, cancer research, and metabolic disorders. Mutations in the SDHC gene are associated with hereditary paragangliomas and pheochromocytomas, tumors that arise from defects in mitochondrial function. Detecting SDHC expression with specific antibodies allows researchers to explore the molecular basis of these diseases and evaluate potential diagnostic markers.

The antibody is suitable for western blotting, immunohistochemistry, immunofluorescence, and flow cytometry. In western blot assays, SDHC antibody specifically recognizes the SDHC protein band, providing accurate analysis of expression levels. In immunohistochemistry, it highlights mitochondrial localization patterns within tissue sections, while immunofluorescence reveals subcellular distribution in cultured cells. These applications make SDHC antibody versatile for both basic and translational research.

SDHC plays an essential role in linking the TCA cycle to oxidative phosphorylation. Disruption of SDHC function impairs both energy production and reactive oxygen species regulation, contributing to tumorigenesis and metabolic disease. Studies employing SDHC antibody provide insights into how alterations in complex II activity influence cancer metabolism, oxidative stress, and cell survival.

Beyond oncology, SDHC antibody is valuable for investigating mitochondrial disorders, neurodegeneration, and cardiovascular diseases. Complex II dysfunction contributes to pathologies ranging from Leigh syndrome to ischemia-reperfusion injury, making SDHC an important focus of mitochondrial research. By detecting SDHC expression, researchers can evaluate mitochondrial integrity and assess therapeutic strategies aimed at restoring respiratory function.

SDHC antibody from NSJ Bioreagents is a reliable reagent for detecting succinate dehydrogenase complex subunit C across multiple experimental systems. Its proven specificity supports detailed investigations into mitochondrial biology, metabolic regulation, and disease pathogenesis.

Application Notes

Optimal dilution of the SDHC antibody should be determined by the researcher.

Immunogen

A synthesized peptide derived from human SDHC was used as the immunogen for the SDHC antibody.

Storage

Store the SDHC antibody at -20oC.

Cross
Bulk Quote Request Form
Name*:
Organization*:
Email*:
Phone Number*:
Catalog No.*:
Comments and Specifics(amount, formulation, etc.)*:
Validation code: Captchapackage Image


Can't read the image? click here to refresh.
    *required field

Your bulk quote request has been submitted successfully!

Please contact us if you have any questions.