• Tel: 858.663.9055
  • SeparatorEmail: info@nsjbio.com
  • Tel: 858.663.9055
  • Email: info@nsjbio.com
Home >> Antibodies >> SDHB Antibody / Succinate dehydrogenase subunit B

SDHB Antibody / Succinate dehydrogenase subunit B [clone 32S25] (FY12536)

  Catalog No Formulation Size Price (USD)  
Image FY12536 Rabbit IgG in phosphate buffered saline, pH 7.4, 150mM NaCl, 0.02% sodium azide and 50% glycerol, 0.4-0.5mg/ml BSA 100 ul 439
Microvalidated Recrabbitmono
Bulk quote request
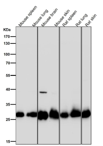
All lanes use the SDHB antibody at 1:3000 dilution for 1 hour at room temperature. Expected molecular weight: 25-32 kDa.
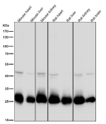
All lanes use the SDHB antibody at 1:3000 dilution for 1 hour at room temperature. Expected molecular weight: 25-32 kDa.
All lanes use the SDHB antibody at 1:3000 dilution for 1 hour at room temperature. Expected molecular weight: 25-32 kDa.
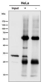
Immunoprecipitation analysis using the SDHB antibody at 1:50 dilution. Western blot performed at 1:1000 dilution. Expected molecular weight: 25-32 kDa.
Availability 2-3 weeks
Species Reactivity Human, Mouse, Rat
Format Liquid
Clonality Recombinant Rabbit Monoclonal
Isotype Rabbit IgG
Clone Name 32S25
Purity Affinity-chromatography
Buffer Rabbit IgG in phosphate buffered saline, pH 7.4, 150mM NaCl, 0.02% sodium azide and 50% glycerol, 0.4-0.5mg/ml BSA.
UniProt P21912
Applications Western Blot : 1:500-1:2000
Immunohistochemistry : 1:50-1:200
Immunoprecipitation : 1:50
Limitations This SDHB antibody is available for research use only.
Review this product on BioCompare and get a $20 Amazon gift card

Related Products

Description

SDHB antibody detects succinate dehydrogenase complex iron sulfur subunit B, encoded by the SDHB gene. SDHB is a core component of mitochondrial complex II, which functions in both the tricarboxylic acid cycle and the electron transport chain. It binds iron sulfur clusters that mediate electron transfer from succinate to ubiquinone. Through this activity, SDHB is essential for mitochondrial energy metabolism and cellular respiration.

SDHB antibody is widely used in studies of mitochondrial biology, metabolism, and cancer. Loss of SDHB expression is associated with hereditary paraganglioma pheochromocytoma syndromes and other mitochondrial disorders. Tumors with SDHB mutations display altered metabolic profiles characterized by accumulation of succinate and stabilization of hypoxia inducible factors. By detecting SDHB, researchers can investigate the links between mitochondrial dysfunction and tumorigenesis.

In western blot assays, SDHB antibody identifies protein bands of the expected molecular weight in mitochondrial fractions. Immunohistochemistry highlights mitochondrial distribution in tissues, while immunofluorescence reveals punctate staining consistent with mitochondrial localization. These applications enable precise analysis of SDHB expression.

SDHB deficiency contributes to cancer development by altering redox balance, epigenetic regulation, and signaling pathways. By applying SDHB antibody, scientists can study how mitochondrial complex II dysfunction promotes tumorigenesis and impacts cellular metabolism. It is also valuable for identifying SDHB deficient tumors in diagnostic pathology.

Beyond oncology, SDHB plays roles in neurology and cardiology, where mitochondrial function is critical for tissue survival. Mutations in SDHB contribute to metabolic and degenerative diseases affecting high energy demanding tissues. SDHB antibody therefore provides a versatile tool for investigating mitochondrial biology in health and disease.

SDHB antibody from NSJ Bioreagents provides reliable specificity for studying mitochondrial metabolism, tumorigenesis, and energy homeostasis. Its strong performance across applications ensures accurate detection of SDHB in diverse research contexts.

Application Notes

Optimal dilution of the SDHB antibody should be determined by the researcher.

Immunogen

A synthesized peptide derived from human SDHB was used as the immunogen for the SDHB antibody.

Storage

Store the SDHB antibody at -20oC.

Cross
Bulk Quote Request Form
Name*:
Organization*:
Email*:
Phone Number*:
Catalog No.*:
Comments and Specifics(amount, formulation, etc.)*:
Validation code: Captchapackage Image


Can't read the image? click here to refresh.
    *required field

Your bulk quote request has been submitted successfully!

Please contact us if you have any questions.