• Tel: 858.663.9055
  • SeparatorEmail: info@nsjbio.com
  • Tel: 858.663.9055
  • Email: info@nsjbio.com
Home >> Antibodies >> SDHB Antibody

SDHB Antibody [clone SDHB/2126] (V8811)

  Catalog No Formulation Size Price (USD)  
Image V8811-100UG 0.2 mg/ml in 1X PBS with 0.1 mg/ml BSA (US sourced), 0.05% sodium azide 100 ug 539
Image
V8811-20UG 0.2 mg/ml in 1X PBS with 0.1 mg/ml BSA (US sourced), 0.05% sodium azide 20 ug 249
Image
V8811SAF-100UG 1 mg/ml in 1X PBS; BSA free, sodium azide free 100 ug 539
Bulk quote request
Western blot testing of human 1) 293, 2) Jurkat and 3) HepG2 cell lysate using SDHB antibody (clone SDHB/2126).
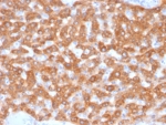
IHC staining of FFPE human kidney tissue with SDHB antibody (clone SDHB/2126). HIER: boil tissue sections in pH 9 10mM Tris with 1mM EDTA for 20 min and allow to cool before testing.
SDS-PAGE analysis of purified, BSA-free SDHB antibody (SDHB/2126) as confirmation of integrity and purity.
Availability 1-3 business days
Species Reactivity Human
Format Purified
Clonality Monoclonal (mouse origin)
Isotype Mouse IgG1, kappa
Clone Name SDHB/2126
Purity Protein A/G affinity
UniProt P21912
Localization Cytoplasmic
Applications Western Blot : 0.5-1ug/ml
Immunohistochemistry (FFPE) : 1-2ug/ml
Limitations This SDHB antibody is available for research use only.
Review this product on BioCompare and get a $20 Amazon gift card

Related Products

Description

Succinate dehydrogenase (SDH) is Complex II in the mitochondria, vital for mitochondrial electron transport, as well as Krebs cycle function.Four subunits comprise the SDH protein complex: a flavochrome subunit (SDHA), an iron-sulfur protein (SDHB) and two membrane-bound subunits (SDHC and SDHD) anchored to the inner mitochondrial membrane. The SDH complex functions as a tumor suppressor. Loss of any subunit proteins lead to destabilization of the complex and tumor formation.Antibody to SDHB is helpful in the identification of phaeochromocytomas, paragangliomas and GIST.

Application Notes

Optimal dilution of the SDHB antibody should be determined by the researcher.

Immunogen

A portion of amino acids 165-273 was used as the immunogen for the SDHB antibody.

Storage

Aliquot the SDHB antibody and store frozen at -20oC or colder. Avoid repeated freeze-thaw cycles.

Cross
Bulk Quote Request Form
Name*:
Organization*:
Email*:
Phone Number*:
Catalog No.*:
Comments and Specifics(amount, formulation, etc.)*:
Validation code: Captchapackage Image


Can't read the image? click here to refresh.
    *required field

Your bulk quote request has been submitted successfully!

Please contact us if you have any questions.