• Tel: 858.663.9055
  • SeparatorEmail: info@nsjbio.com
  • Tel: 858.663.9055
  • Email: info@nsjbio.com
Home >> Antibodies >> Scraps Antibody

Scraps Antibody (R36348)

  Catalog No Formulation Size Price (USD)  
Image R36348-100UG 0.5 mg/ml in 1X TBS, pH7.3, with 0.5% BSA (US sourced) and 0.02% sodium azide 100 ug 449
Bulk quote request
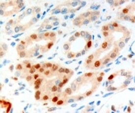
IHC testing of FFPE human kidney with Scraps antibody at 10ug/ml. HIER: Microwave with pH9 Tris/EDTA buffer, HRP-staining.
Availability 1-3 business days
Species Reactivity Human
Predicted Reactivity Cow, Mouse
Format Antigen affinity purified
Clonality Polyclonal (goat origin)
Isotype Goat Ig
Purity Antigen affinity
Gene ID 54443
Applications Immunohistochemistry (FFPE) : 3-10ug/ml
ELISA (peptide) LOD : 1:64000
Limitations This Scraps antibody is available for research use only.
Review this product on BioCompare and get a $20 Amazon gift card

Related Products

  • Applications : WB, ELISA (peptide)
    Reactivity : Human, Mouse
    Pred. Reactivity : Rat, Dog
  • Applications : WB, IF, FACS
    Reactivity : Human, Mouse, Rat

Description

Additional name(s) for this target protein: Anillin; ANLN

Application Notes

Optimal dilution of the Scraps antibody should be determined by the researcher.

Immunogen

Amino acids WQPDACYKPIGKP were used as the immunogen for this Scraps antibody.

Storage

Aliquot and store the Scraps antibody at -20oC.

Cross
Bulk Quote Request Form
Name*:
Organization*:
Email*:
Phone Number*:
Catalog No.*:
Comments and Specifics(amount, formulation, etc.)*:
Validation code: Captchapackage Image


Can't read the image? click here to refresh.
    *required field

Your bulk quote request has been submitted successfully!

Please contact us if you have any questions.