• Tel: 858.663.9055
  • SeparatorEmail: info@nsjbio.com
  • Tel: 858.663.9055
  • Email: info@nsjbio.com
Home >> Antibodies >> SCNN1A Antibody

SCNN1A Antibody (F54464)

  Catalog No Formulation Size Price (USD)  
Image F54464-0.4ML In 1X PBS, pH 7.4, with 0.09% sodium azide 0.4 ml 429
Image
F54464-0.08ML In 1X PBS, pH 7.4, with 0.09% sodium azide 0.08 ml 199
Bulk quote request
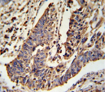
IHC testing of FFPE human lung carcinoma tissue with SCNN1A antibody. HIER: steam section in pH6 citrate buffer for 20 min and allow to cool prior to staining.
Immunofluorescent staining of human HeLa cells with SCNN1A antibody (green) and DAPI nuclear stain (blue).
Western blot testing of human Daudi cell lysate with SCNN1A antibody. Predicted molecular weight ~76 kDa.
Flow cytometry testing of fixed and permeabilized human WiDr cells with SCNN1A antibody; Blue=isotype control, Green= SCNN1A antibody.
Flow cytometry testing of human WiDr cells with SCNN1A antibody; Blue=isotype control, Green= SCNN1A antibody.
Availability 1-3 business days
Species Reactivity Human
Format Purified
Clonality Polyclonal (rabbit origin)
Isotype Rabbit Ig
Purity Antigen affinity purified
UniProt P37088
Localization Cytoplasmic, plasma membrane
Applications Flow Cytometry : 1:25 (1x10e6 cells)
Immunofluorescence : 1:25
Immunohistochemistry (FFPE) : 1:25
Western Blot : 1:500-1:2000
Limitations This SCNN1A antibody is available for research use only.
Review this product on BioCompare and get a $20 Amazon gift card

Related Products

  • Applications : WB, IF
    Reactivity : Human
  • Applications : WB, Direct ELISA
    Reactivity : Human

Description

Nonvoltage-gated, amiloride-sensitive, sodium channels control fluid and electrolyte transport across epithelia in many organs. These channels are heteromeric complexes consisting of 3 subunits: alpha, beta, and gamma. This gene encodes the alpha subunit, and mutations in this gene have been sociated with pseudohypoaldosteronism type 1 (PHA1), a rare salt wasting disease resulting from target organ unresponsiveness to mineralocorticoids.

Application Notes

The stated application concentrations are suggested starting points. Titration of the SCNN1A antibody may be required due to differences in protocols and secondary/substrate sensitivity.

Immunogen

A portion of amino acids 365-391 from the human protein was used as the immunogen for the SCNN1A antibody.

Storage

Aliquot the SCNN1A antibody and store frozen at -20oC or colder. Avoid repeated freeze-thaw cycles.

Cross
Bulk Quote Request Form
Name*:
Organization*:
Email*:
Phone Number*:
Catalog No.*:
Comments and Specifics(amount, formulation, etc.)*:
Validation code: Captchapackage Image


Can't read the image? click here to refresh.
    *required field

Your bulk quote request has been submitted successfully!

Please contact us if you have any questions.