• Tel: 858.663.9055
  • SeparatorEmail: info@nsjbio.com
  • Tel: 858.663.9055
  • Email: info@nsjbio.com
Home >> Antibodies >> SCN4B Antibody

SCN4B Antibody (RQ4934)

  Catalog No Formulation Size Price (USD)  
Image RQ4934 0.5mg/ml if reconstituted with 0.2ml sterile DI water 100 ug 439
Bulk quote request
Western blot testing of 1) human placenta, 2) human U-87 MG, 3) monkey COS-7, 4) human U-2 OS, 5) human HEK293, 6) human SHG-44, 7) human K562 and 8) human HL-60 cell lysate with SCN4B antibody at 0.5ug/ml. Predicted molecular weight: 25-38 kDa depending on level of glycosylation.
Western blot testing of 1) rat brain, 2) rat heart, 3) rat spleen, 4) rat kidney, 5) mouse brain, 6) mouse heart, 7) mouse spleen, 8) mouse kidney and 9) mouse Neuro-2a lysate with SCN4B antibody at 0.5ug/ml. Predicted molecular weight: 25-38 kDa depending on level of glycosylation.
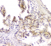
IHC staining of FFPE human renal cancer with SCN4B antibody at 1ug/ml. HIER: boil tissue sections in pH6, 10mM citrate buffer, for 10-20 min and allow to cool before testing.
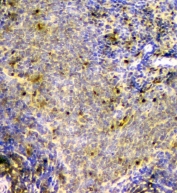
IHC staining of FFPE rat spleen with SCN4B antibody at 1ug/ml. HIER: boil tissue sections in pH6, 10mM citrate buffer, for 10-20 min and allow to cool before testing.
Flow cytometry testing of human U-2 OS cells with SCN4B antibody at 1ug/million cells (blocked with goat sera); Red=cells alone, Green=isotype control, Blue= SCN4B antibody.
Flow cytometry testing of human SiHa cells with SCN4B antibody at 1ug/million cells (blocked with goat sera); Red=cells alone, Green=isotype control, Blue= SCN4B antibody.
Availability 1-3 business days
Species Reactivity Human, Mouse, Rat
Format Antigen affinity purified
Clonality Polyclonal (rabbit origin)
Isotype Rabbit IgG
Purity Antigen affinity purified
Buffer Lyophilized from 1X PBS with 2% Trehalose and 0.025% sodium azide
UniProt Q8IWT1
Applications Western Blot : 0.5-1ug/ml
Immunohistochemistry (FFPE) : 1-2ug/ml
Flow Cytometry : 1-3ug/million cells
Limitations This SCN4B antibody is available for research use only.
Review this product on BioCompare and get a $20 Amazon gift card

Description

Sodium channel beta-subunit 4, also known as SCN4B, is a protein that in humans is encoded by the SCN4B gene. The protein encoded by this gene is one of several sodium channel beta subunits. These subunits interact with voltage-gated alpha subunits to change sodium channel kinetics. The encoded transmembrane protein forms interchain disulfide bonds with SCN2A. Defects in this gene are a cause of long QT syndrome type 10 (LQT10). Three protein-coding and one non-coding transcript variant have been found for this gene.

Application Notes

Optimal dilution of the SCN4B antibody should be determined by the researcher.

Immunogen

Amino acids LRDLEFSDTGKYTCHVKNPKENNLQHHATIFLQ from the human protein were used as the immunogen for the SCN4B antibody.

Storage

After reconstitution, the SCN4B antibody can be stored for up to one month at 4oC. For long-term, aliquot and store at -20oC. Avoid repeated freezing and thawing.

Cross
Bulk Quote Request Form
Name*:
Organization*:
Email*:
Phone Number*:
Catalog No.*:
Comments and Specifics(amount, formulation, etc.)*:
Validation code: Captchapackage Image


Can't read the image? click here to refresh.
    *required field

Your bulk quote request has been submitted successfully!

Please contact us if you have any questions.