• Tel: 858.663.9055
  • SeparatorEmail: info@nsjbio.com
  • Tel: 858.663.9055
  • Email: info@nsjbio.com
Home >> Antibodies >> SCN2A Antibody

SCN2A Antibody (RQ6208)

  Catalog No Formulation Size Price (USD)  
Image RQ6208 0.5mg/ml if reconstituted with 0.2ml sterile DI water 100 ug 439
Bulk quote request
Flow cytometry testing of human U-2 OS cells with SCN2A antibody at 1ug/million cells (blocked with goat sera); Red=cells alone, Green=isotype control, Blue= SCN2A antibody.
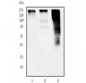
Western blot testing of 1) rat brain, 2) mouse brain and 3) rat C6 cell lysate with SCN2A antibody. Predicted molecular weight ~320 kDa.
Availability 1-3 business days
Species Reactivity Human, Mouse, Rat
Format Antigen affinity purified
Clonality Polyclonal (rabbit origin)
Isotype Rabbit IgG
Purity Affinity purified
Buffer Lyophilized from 1X PBS with 2% Trehalose and 0.0125% sodium azide
UniProt Q99250
Applications Western Blot : 1-2ug/ml
Flow Cytometry : 1-3ug/million cells
Limitations This SCN2A antibody is available for research use only.
Review this product on BioCompare and get a $20 Amazon gift card

Related Products

  • Applications : WB
    Reactivity : Mouse, Rat

Description

Nav-alpha 1.2, also known as the sodium channel, voltage-gated, type II, alpha subunit is a protein that in humans is encoded by the SCN2A gene. Voltage-gated sodium channels are transmembrane glycoprotein complexes composed of a large alpha subunit with four repeat domains, each of which is composed of six membrane-spanning segments, and one or more regulatory beta subunits. Voltage-gated sodium channels function in the generation and propagation of action potentials in neurons and muscle. This gene encodes one member of the sodium channel alpha subunit gene family. Allelic variants of this gene are associated with seizure disorders and autism spectrum disorder. Alternative splicing results in multiple transcript variants.

Application Notes

Optimal dilution of the SCN2A antibody should be determined by the researcher.

Immunogen

Amino acids RTVSIFNWDEYIEDKSH from the human protein were used as the immunogen for the SCN2A antibody.

Storage

After reconstitution, the SCN2A antibody can be stored for up to one month at 4oC. For long-term, aliquot and store at -20oC. Avoid repeated freezing and thawing.

Cross
Bulk Quote Request Form
Name*:
Organization*:
Email*:
Phone Number*:
Catalog No.*:
Comments and Specifics(amount, formulation, etc.)*:
Validation code: Captchapackage Image


Can't read the image? click here to refresh.
    *required field

Your bulk quote request has been submitted successfully!

Please contact us if you have any questions.