• Tel: 858.663.9055
  • SeparatorEmail: info@nsjbio.com
  • Tel: 858.663.9055
  • Email: info@nsjbio.com
Home >> Antibodies >> SCN1B Antibody / Sodium channel subunit beta-1

SCN1B Antibody / Sodium channel subunit beta-1 (RQ6514)

  Catalog No Formulation Size Price (USD)  
Image RQ6514 0.5mg/ml if reconstituted with 0.2ml sterile DI water 100 ug 439
Bulk quote request
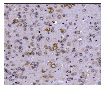
IHC staining of FFPE mouse brain tissue with SCN1B antibody. HIER: boil tissue sections in pH8 EDTA for 20 min and allow to cool before testing.
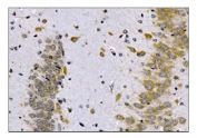
IHC staining of FFPE rat brain tissue with SCN1B antibody. HIER: boil tissue sections in pH8 EDTA for 20 min and allow to cool before testing.
Western blot testing of 1) rat hippocampus and 2) mouse hippocampus tissue lysate with SCN1B antibody. Predicted molecular weight: 24-30 kDa but commonly observed at 30-40 kDa.
Availability 1-3 business days
Species Reactivity Human, Mouse, Rat
Format Antigen affinity purified
Clonality Polyclonal (rabbit origin)
Isotype Rabbit IgG
Purity Affinity purified
Buffer Lyophilized from 1X PBS with 2% Trehalose
UniProt Q07699
Applications Western Blot : 1-2ug/ml
Immunohistochemistry (FFPE) : 2-5ug/ml
Direct ELISA : 0.1-0.5ug/ml
Limitations This SCN1B antibody is available for research use only.
Review this product on BioCompare and get a $20 Amazon gift card

Related Products

Description

Voltage-gated sodium (Na+) channels are essential for the generation and propagation of action potentials in striated muscle and neuronal tissues. The complete coding region of Sodium channel, voltage-gated, beta 1 (SCN1B) is found in approximately 9.0 kb of genomic DNA and consists of five exons (72 to 749 bp) and four introns (90 bp to 5.5 kb). It is mapped to 19q13.1 and can act as a candidate gene for hereditary disorders affecting membrane excitability. Sodium channel beta1 subunits play important roles in the regulation of sodium channel density and localization and are involved in axo-glial communication at nodes of Ranvier.

Application Notes

Optimal dilution of the SCN1B antibody should be determined by the researcher.

Immunogen

An E. coli-derived human protein (amino acids C21-E218) was used as the immunogen for the SCN1B antibody.

Storage

After reconstitution, the SCN1B antibody can be stored for up to one month at 4oC. For long-term, aliquot and store at -20oC. Avoid repeated freezing and thawing.

Cross
Bulk Quote Request Form
Name*:
Organization*:
Email*:
Phone Number*:
Catalog No.*:
Comments and Specifics(amount, formulation, etc.)*:
Validation code: Captchapackage Image


Can't read the image? click here to refresh.
    *required field

Your bulk quote request has been submitted successfully!

Please contact us if you have any questions.