• Tel: 858.663.9055
  • SeparatorEmail: info@nsjbio.com
  • Tel: 858.663.9055
  • Email: info@nsjbio.com
Home >> Antibodies >> Sclerostin Antibody / SOST

Sclerostin Antibody / SOST (F54329)

  Catalog No Formulation Size Price (USD)  
Image F54329-0.2ML In 1X PBS, pH 7.4, with 0.09% sodium azide 0.2 ml 429
Image
F54329-0.05ML In 1X PBS, pH 7.4, with 0.09% sodium azide 0.05 ml 199
Bulk quote request
Western blot testing of human 1) kidney and 2) liver lysate with Sclerostin antibody. Predicted molecular weight ~24 kDa.
Western blot testing of 1) mouse lung, 2) human liver and 3) human HeLa lysate with Sclerostin antibody. Predicted molecular weight ~24 kDa.
Western blot testing of 1) mouse liver, 2) mouse lung and 3) rat kidney lysate with Sclerostin antibody. Predicted molecular weight ~24 kDa.
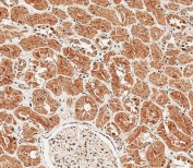
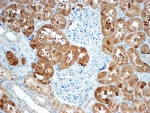
IHC testing of FFPE human kidney tissue with Sclerostin antibody. HIER: steam section in pH9 EDTA for 20 min and allow to cool prior to staining.
Availability 1-3 business days
Species Reactivity Human, Mouse, Rat
Format Purified
Clonality Polyclonal (rabbit origin)
Isotype Rabbit IgG
Purity Antigen affinity purified
UniProt Q9BQB4
Applications Immunohistochemistry (FFPE) : 1:25
Western Blot : 1:500-1:2000
Limitations This Sclerostin antibody is available for research use only.
Review this product on BioCompare and get a $20 Amazon gift card

Related Products

  • Applications : IHC, ELISA (peptide)
    Reactivity : Human
    Pred. Reactivity : Cow, Dog, Mouse, Rat

Description

Sclerostin is a secreted glycoprotein with a C-terminal cysteine knot-like (CTCK) domain and sequence similarity to the DAN (differential screening-selected gene aberrative in neuroblastoma) family of bone morphogenetic protein (BMP) antagonists. Loss-of-function mutations in this gene are associated with an autosomal-recessive disorder, sclerosteosis, which causes progressive bone overgrowth. A deletion downstream of this gene, which causes reduced sclerostin expression, is associated with a milder form of the disorder called van Buchem disease.

Application Notes

The stated application concentrations are suggested starting points. Titration of the Sclerostin antibody may be required due to differences in protocols and secondary/substrate sensitivity.

Immunogen

A portion of amino acids 12-42 from the human protein was used as the immunogen for the Sclerostin antibody.

Storage

Aliquot the Sclerostin antibody and store frozen at -20oC or colder. Avoid repeated freeze-thaw cycles.

Cross
Bulk Quote Request Form
Name*:
Organization*:
Email*:
Phone Number*:
Catalog No.*:
Comments and Specifics(amount, formulation, etc.)*:
Validation code: Captchapackage Image


Can't read the image? click here to refresh.
    *required field

Your bulk quote request has been submitted successfully!

Please contact us if you have any questions.