• Tel: 858.663.9055
  • SeparatorEmail: info@nsjbio.com
  • Tel: 858.663.9055
  • Email: info@nsjbio.com
Home >> Antibodies >> SCGN Antibody / Secretagogin

SCGN Antibody / Secretagogin [clone SCGN/7326] (V5160)

  Catalog No Formulation Size Price (USD)  
Image V5160-100UG 0.2 mg/ml in 1X PBS with 0.1 mg/ml BSA (US sourced), 0.05% sodium azide 100 ug 539
Image
V5160-20UG 0.2 mg/ml in 1X PBS with 0.1 mg/ml BSA (US sourced), 0.05% sodium azide 20 ug 249
Image
V5160SAF-100UG 1 mg/ml in 1X PBS; BSA free, sodium azide free 100 ug 539
Bulk quote request
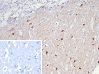
IHC staining of FFPE human brain tissue with SCGN antibody (clone SCGN/7326). Inset: PBS used in place of primary Ab (secondary Ab negative control). HIER: boil tissue sections in pH 9 10mM Tris with 1mM EDTA for 20 min and allow to cool before testing.
SDS-PAGE analysis of purified, BSA-free SCGN antibody (clone SCGN/7326) as confirmation of integrity and purity.
Availability 1-3 business days
Species Reactivity Human
Format Purified
Clonality Monoclonal (mouse origin)
Isotype Mouse IgG1, kappa
Clone Name SCGN/7326
Purity Protein A/G affinity
UniProt O76038
Localization Cytoplasm, Secreted
Applications Immunohistochemistry (FFPE) : 1-2ug/ml for 30 min at RT
Limitations This SCGN antibody is available for research use only.
Review this product on BioCompare and get a $20 Amazon gift card

Related Products

Description

SCGN, also known as Secretagogin, CALBL, setagin or SECRET, is a 276 amino acid cytoplasmic protein that contains six EF-hand domains and is related to the calicium-binding proteins Calretinin and Calbindin D28K. Expressed in a variety of tissues including stomach, thyroid, colon, brain and neuroendocrine cells, SCGN is thought to be involved in cell proliferation and KCl (potassium chloride)-mediated calcium flux events. Through its interaction with KCl and its subsequent ability to modulate calcium storage pools within the cell, SCGN may function to negatively control growth and differentiation rates and, thus, indirectly inhibit cell replication.

Application Notes

Optimal dilution of the SCGN antibody should be determined by the researcher.

Immunogen

A recombinant partial protein sequence (within amino acids 100-276) from the human protein was used as the immunogen for the SCGN antibody.

Storage

Aliquot the SCGN antibody and store frozen at -20oC or colder. Avoid repeated freeze-thaw cycles.

Cross
Bulk Quote Request Form
Name*:
Organization*:
Email*:
Phone Number*:
Catalog No.*:
Comments and Specifics(amount, formulation, etc.)*:
Validation code: Captchapackage Image


Can't read the image? click here to refresh.
    *required field

Your bulk quote request has been submitted successfully!

Please contact us if you have any questions.