• Tel: 858.663.9055
  • SeparatorEmail: info@nsjbio.com
  • Tel: 858.663.9055
  • Email: info@nsjbio.com
Home >> Antibodies >> SCFR Antibody / c-Kit / CD117

SCFR Antibody / c-Kit / CD117 [clone C117/7119] (V4028)

  Catalog No Formulation Size Price (USD)  
Image V4028-100UG 0.2 mg/ml in 1X PBS with 0.1 mg/ml BSA (US sourced), 0.05% sodium azide 100 ug 539
Image
V4028-20UG 0.2 mg/ml in 1X PBS with 0.1 mg/ml BSA (US sourced), 0.05% sodium azide 20 ug 249
Image
V4028SAF-100UG 1 mg/ml in 1X PBS; BSA free, sodium azide free 100 ug 539
Bulk quote request
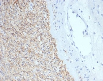
IHC staining of FFPE human gastrointestinal stromal tumor (GIST) with CD117 / SCFR antibody (clone C117/7119) at 2ug/ml. HIER: boil tissue sections in pH 9 10mM Tris with 1mM EDTA for 20 min and allow to cool before testing.
SDS-PAGE analysis of purified, BSA-free CD117 / SCFR antibody (clone C117/7119) as confirmation of integrity and purity.
Availability 1-3 business days
Species Reactivity Human
Format Purified
Clonality Monoclonal (mouse origin)
Isotype Mouse IgG1, kappa
Clone Name C117/7119
Purity Protein A/G affinity
UniProt P10721
Localization Cell surface, cytoplasm
Applications ELISA : 2-4ug/ml (order Ab without BSA for coating)
Immunohistochemistry (FFPE) : 2-4ug/ml
Limitations This SCFR antibody is available for research use only.
Review this product on BioCompare and get a $20 Amazon gift card

Related Products

Description

c-Kit, also called CD117, SCFR and Stem Cell Factor Receptor is found on a wide variety of tumor cells including follicular and papillary carcinoma of thyroid, adenocarcinomas from endometrium, lung, ovary, pancreas, and breast as well as malignant melanoma, endodermal sinus tumor, and small cell carcinoma. However, anti-SCFR has been particularly useful in differentiating gastrointestinal stromal tumors from Kaposi s sarcoma, tumors of smooth muscle origin, fibromatosis, and neural tumors of the GI tract. Anti-SCFR is also useful in recognizing myeloblasts in bone marrow biopsy and clot section.

Application Notes

Optimal dilution of the SCFR antibody should be determined by the researcher.

Immunogen

A portion of amino acids 50-250 from the human protein was used as the immunogen for the SCFR antibody.

Storage

Aliquot the SCFR antibody and store frozen at -20oC or colder. Avoid repeated freeze-thaw cycles.

Cross
Bulk Quote Request Form
Name*:
Organization*:
Email*:
Phone Number*:
Catalog No.*:
Comments and Specifics(amount, formulation, etc.)*:
Validation code: Captchapackage Image


Can't read the image? click here to refresh.
    *required field

Your bulk quote request has been submitted successfully!

Please contact us if you have any questions.