• Tel: 858.663.9055
  • SeparatorEmail: info@nsjbio.com
  • Tel: 858.663.9055
  • Email: info@nsjbio.com
Home >> Antibodies >> SCF Antibody / KITLG

SCF Antibody / KITLG (R32891)

  Catalog No Formulation Size Price (USD)  
Image R32891 0.5mg/ml if reconstituted with 0.2ml sterile DI water 100 ug 439
Bulk quote request
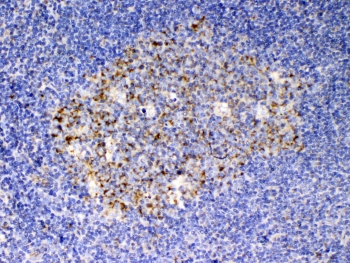
IHC testing of FFPE human tonsil tissue with SCF antibody at 1ug/ml. Required HIER: steam section in pH6 citrate buffer for 20 min and allow to cool prior to testing.
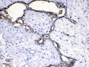
IHC testing of FFPE human colon cancer tissue with SCF antibody at 1ug/ml. Required HIER: steam section in pH6 citrate buffer for 20 min and allow to cool prior to testing.
IHC testing of FFPE human lung cancer tissue with SCF antibody at 1ug/ml. Required HIER: steam section in pH6 citrate buffer for 20 min and allow to cool prior to testing.
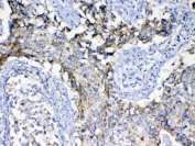
IHC testing of FFPE human breast cancer tissue with SCF antibody at 1ug/ml. Required HIER: steam section in pH6 citrate buffer for 20 min and allow to cool prior to testing.
Western blot testing of mouse HEPA1-6 cell lysate with SCF antibody at 0.5ug/ml. Expected molecular weight ~31 kDa (unmodified), 37-42 kDa (glycosylated).
Availability 1-3 business days
Species Reactivity Human, Mouse, Rat
Format Antigen affinity purified
Clonality Polyclonal (rabbit origin)
Isotype Rabbit IgG
Purity Antigen affinity
Buffer Lyophilized from 1X PBS with 2.5% BSA, 0.025% sodium azide
UniProt P21583
Localization Cytoplasmic, nuclear
Applications Western Blot : 0.5-1ug/ml
Immunohistochemistry (FFPE) : 1-2ug/ml
Limitations This SCF antibody is available for research use only.
Review this product on BioCompare and get a $20 Amazon gift card

Related Products

  • Applications : WB, ELISA (protein)
    Reactivity : Human
  • Applications : WB, IHC-P
    Reactivity : Human
  • Applications : WB, IF, FACS, ELISA
    Reactivity : Human
    Pred. Reactivity : Bovine, Pig

Description

Stem Cell Factor (also known as SCF, kit-ligand, KL, or steel factor) is a cytokine that binds to the c-Kit receptor (CD117). The SCF gene is mapped to 12q21.32. SCF can exist both as a transmembrane protein and a soluble protein. This cytokine plays an important role in hematopoiesis (formation of blood cells), spermatogenesis, and melanogenesis. SCF may be used along with other cytokines to culture HSCs and hematopoietic progenitors. The expansion of these cells ex-vivo (outside the body) would allow advances in bone-marrow transplantation, in which HSCs are transferred to a patient to re-establish blood formation. One of the problems of injecting SCF for therapeutic purposes is that SCF activates mast cells. The injection of SCF has been shown to cause allergic-like symptoms and the proliferation of mast cells and melanocytes.

Application Notes

Optimal dilution of the SCF antibody should be determined by the researcher.

Immunogen

A recombinant human protein corresponding to amino acids E26-A190 was used as the immunogen for the SCF antibody.

Storage

After reconstitution, the SCF antibody can be stored for up to one month at 4oC. For long-term, aliquot and store at -20oC. Avoid repeated freezing and thawing.

Cross
Bulk Quote Request Form
Name*:
Organization*:
Email*:
Phone Number*:
Catalog No.*:
Comments and Specifics(amount, formulation, etc.)*:
Validation code: Captchapackage Image


Can't read the image? click here to refresh.
    *required field

Your bulk quote request has been submitted successfully!

Please contact us if you have any questions.