• Tel: 858.663.9055
  • SeparatorEmail: info@nsjbio.com
  • Tel: 858.663.9055
  • Email: info@nsjbio.com
Home >> Antibodies >> SCARB2 Antibody

SCARB2 Antibody (R34831)

  Catalog No Formulation Size Price (USD)  
Image R34831-100UG 0.5 mg/ml in 1X TBS, pH7.3, with 0.5% BSA (US sourced) and 0.02% sodium azide 100 ug 449
Bulk quote request
Western blot testing of human cerebral cortex lysate with SCARB2 antibody at 0.1ug/ml. Predicted molecular weight: ~54/85kDa (unmodified/glycosylated).
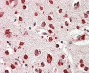
IHC staining of FFPE human cerebral cortex with SCARB2 antibody at 4ug/ml. HIER: steamed with pH6 citrate buffer, AP-staining.
Availability 1-3 business days
Species Reactivity Human
Predicted Reactivity Mouse
Format Antigen affinity purified
Clonality Polyclonal (goat origin)
Isotype Goat Ig
Purity Antigen affinity
Gene ID 950
Applications Western Blot : 0.1-0.3ug/ml
Immunohistochemistry (FFPE) : 3-5ug/ml
ELISA (peptide) LOD : 1:4000
Limitations This SCARB2 antibody is available for research use only.
Review this product on BioCompare and get a $20 Amazon gift card

Related Products

Description

Additional name(s) for this target protein: Scavenger receptor class B, member 2; SR-BII; LIMP2; LIMPII; LGP85; 85 kDa lysosomal sialoglycoprotein scavenger receptor class B, member 2

Application Notes

Optimal dilution of the SCARB2 antibody should be determined by the researcher.

Immunogen

Amino acids NKANIQFGDNGTTIS were used as the immunogen for this SCARB2 antibody.

Storage

Aliquot and store the SCARB2 antibody at -20oC.

Cross
Bulk Quote Request Form
Name*:
Organization*:
Email*:
Phone Number*:
Catalog No.*:
Comments and Specifics(amount, formulation, etc.)*:
Validation code: Captchapackage Image


Can't read the image? click here to refresh.
    *required field

Your bulk quote request has been submitted successfully!

Please contact us if you have any questions.