• Tel: 858.663.9055
  • SeparatorEmail: info@nsjbio.com
  • Tel: 858.663.9055
  • Email: info@nsjbio.com
Home >> Antibodies >> Sarcosine dehydrogenase Antibody / SARDH

Sarcosine dehydrogenase Antibody / SARDH (RQ7546)

  Catalog No Formulation Size Price (USD)  
Image RQ7546 0.5mg/ml if reconstituted with 0.2ml sterile DI water 100 ug 439
Bulk quote request
Flow cytometry testing of human U-87 MG cells with Sarcosine dehydrogenase antibody at 1ug/million cells (blocked with goat sera); Red=cells alone, Green=isotype control, Blue= Sarcosine dehydrogenase antibody.
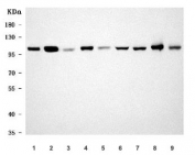
Western blot testing of 1) human HCCT, 2) human HCCP, 3) rat pancreas, 4) rat liver, 5) rat kidney, 6) rat RH35, 7) mouse pancreas, 8) mouse liver and 9) mouse kidney tissue lysate with Sarcosine dehydrogenase antibody. Predicted molecular weight ~101 kDa.
Availability 1-3 business days
Species Reactivity Human, Mouse, Rat
Format Antigen affinity purified
Clonality Polyclonal (rabbit origin)
Isotype Rabbit IgG
Purity Antigen affinity purified
Buffer Lyophilized from 1X PBS with 2% Trehalose
UniProt Q9UL12
Applications Western Blot : 0.5-1ug/ml
Flow Cytometry : 1-3ug/million cells
Direct ELISA : 0.1-0.5ug/ml
Limitations This Sarcosine dehydrogenase antibody is available for research use only.
Review this product on BioCompare and get a $20 Amazon gift card

Description

Sarcosine dehydrogenase, mitochondrial is an enzyme that in humans is encoded by the SARDH gene. This gene encodes an enzyme localized to the mitochondrial matrix which catalyzes the oxidative demethylation of sarcosine. This enzyme is distinct from another mitochondrial matrix enzyme, dimethylglycine dehydrogenase, which catalyzes a reaction resulting in the formation of sarcosine. Mutations in this gene are associated with sarcosinemia. Alternatively spliced transcript variants have been described.

Application Notes

Optimal dilution of the Sarcosine dehydrogenase antibody should be determined by the researcher.

Immunogen

E. coli-derived recombinant human protein (amino acids M1-E640) was used as the immunogen for the Sarcosine dehydrogenase antibody.

Storage

After reconstitution, the Sarcosine dehydrogenase antibody can be stored for up to one month at 4oC. For long-term, aliquot and store at -20oC. Avoid repeated freezing and thawing.

Cross
Bulk Quote Request Form
Name*:
Organization*:
Email*:
Phone Number*:
Catalog No.*:
Comments and Specifics(amount, formulation, etc.)*:
Validation code: Captchapackage Image


Can't read the image? click here to refresh.
    *required field

Your bulk quote request has been submitted successfully!

Please contact us if you have any questions.