• Tel: 858.663.9055
  • SeparatorEmail: info@nsjbio.com
  • Tel: 858.663.9055
  • Email: info@nsjbio.com
Home >> Antibodies >> SAP18 Antibody

SAP18 Antibody (RQ7529)

  Catalog No Formulation Size Price (USD)  
Image RQ7529 0.5mg/ml if reconstituted with 0.2ml sterile DI water 100 ug 439
Bulk quote request
Immunofluorescent staining of FFPE human MCF7 cells with SAP18 antibody (red) and Alpha Tubulin mAb (green). HIER: steam section in pH6 citrate buffer for 20 min.
Immunofluorescent staining of FFPE human ovarian cancer tissue with SAP18 antibody. HIER: steam section in pH8 EDTA buffer for 20 min.
Immunofluorescent staining of FFPE human esophageal squamous carcinoma tissue with SAP18 antibody. HIER: steam section in pH8 EDTA buffer for 20 min.
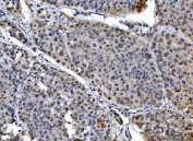
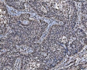
IHC staining of FFPE human duodenal adenocarcinoma tissue with SAP18 antibody. HIER: boil tissue sections in pH8 EDTA for 20 min and allow to cool before testing.
IHC staining of FFPE human esophageal squamous carcinoma tissue with SAP18 antibody. HIER: boil tissue sections in pH8 EDTA for 20 min and allow to cool before testing.
IHC staining of FFPE human liver cancer tissue with SAP18 antibody. HIER: boil tissue sections in pH8 EDTA for 20 min and allow to cool before testing.
Western blot testing of 1) human HeLa, 2) human K562, 3) human Jurkat, 4) rat RH35 and 5) mouse NIH 3T3 cell lysate with SAP18 antibody. Predicted molecular weight ~18 kDa.
Flow cytometry testing of human U-2 OS cells with SAP18 antibody at 1ug/million cells (blocked with goat sera); Red=cells alone, Green=isotype control, Blue= SAP18 antibody.
Availability 1-3 business days
Species Reactivity Human, Mouse, Rat
Format Antigen affinity purified
Clonality Polyclonal (rabbit origin)
Isotype Rabbit IgG
Purity Antigen affinity purified
Buffer Lyophilized from 1X PBS with 2% Trehalose
UniProt O00422
Localization Nuclear, cytoplasmic
Applications Western Blot : 0.5-1ug/ml
Immunofluorescence : 5ug/ml
Flow Cytometry : 1-3ug/million cells
Immunohistochemistry (FFPE) : 2-5ug/ml
Direct ELISA : 0.1-0.5ug/ml
Limitations This SAP18 antibody is available for research use only.
Review this product on BioCompare and get a $20 Amazon gift card

Description

Histone deacetylase complex subunit SAP18 is an enzyme that in humans is encoded by the SAP18 gene. Histone acetylation plays a key role in the regulation of eukaryotic gene expression. Histone acetylation and deacetylation are catalyzed by multisubunit complexes. The protein encoded by this gene is a component of the histone deacetylase complex, which includes SIN3, SAP30, HDAC1, HDAC2, RbAp46, RbAp48, and other polypeptides. This protein directly interacts with SIN3 and enhances SIN3-mediated transcriptional repression when tethered to the promoter. A pseudogene has been identified on chromosome 2.

Application Notes

Optimal dilution of the SAP18 antibody should be determined by the researcher.

Immunogen

E. coli-derived recombinant human protein (amino acids M1-Y153) was used as the immunogen for the SAP18 antibody.

Storage

After reconstitution, the SAP18 antibody can be stored for up to one month at 4oC. For long-term, aliquot and store at -20oC. Avoid repeated freezing and thawing.

Cross
Bulk Quote Request Form
Name*:
Organization*:
Email*:
Phone Number*:
Catalog No.*:
Comments and Specifics(amount, formulation, etc.)*:
Validation code: Captchapackage Image


Can't read the image? click here to refresh.
    *required field

Your bulk quote request has been submitted successfully!

Please contact us if you have any questions.