• Tel: 858.663.9055
  • SeparatorEmail: info@nsjbio.com
  • Tel: 858.663.9055
  • Email: info@nsjbio.com
Home >> Antibodies >> SAM68 Antibody / KHDRBS1

SAM68 Antibody / KHDRBS1 (F53819)

  Catalog No Formulation Size Price (USD)  
Image F53819-0.2ML In 1X PBS, pH 7.4, with 0.09% sodium azide 0.2 ml 429
Image
F53819-0.05ML In 1X PBS, pH 7.4, with 0.09% sodium azide 0.05 ml 199
Bulk quote request
Western blot testing of human 1) Raji, 2) HeLa, 3) Daudi, 4) HT-29 and 5) mouse NIH3T3 cell lysate with SAM68 antibody at 1:2000. Predicted molecular weight 48 kDa but routinely observed at 62-68 kDa.
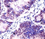
IHC testing of FFPE human colorectal carcinoma with SAM68 antibody at 1:25. HIER: steamed in pH6 citrate buffer.
Availability 1-3 business days
Species Reactivity Human, Mouse
Format Antigen affinity purified
Clonality Polyclonal (rabbit origin)
Isotype Rabbit Ig
Purity Antigen affinity
UniProt Q07666
Localization Nuclear
Applications Western Blot : 1:1000-2000
IHC (FFPE) : 1:25
Limitations This SAM68 antibody is available for research use only.
Review this product on BioCompare and get a $20 Amazon gift card

Related Products

  • Applications : WB, IHC-P, IF, FACS, Direct ELISA
    Reactivity : Human, Mouse, Rat

Description

Src associated in mitosis 68 kDa protein is recruited and tyrosine phosphorylated by several receptor systems, for example the T-cell, leptin and insulin receptors. Once phosphorylated, functions as an adapter protein in signal transduction cascades by binding to SH2 and SH3 domain- containing proteins. Role in G2-M progression in the cell cycle. Represses CBP-dependent transcriptional activation apparently by competing with other nuclear factors for binding to CBP. Also acts as a putative regulator of mRNA stability and/or translation rates and mediates mRNA nuclear export. Positively regulates the association of constitutive transport element (CTE)-containing mRNA with large polyribosomes and translation initiation. According to some authors, is not involved in the nucleocytoplasmic export of unspliced (CTE)-containing RNA species according to.

Application Notes

Titration of the SAM68 antibody may be required due to differences in protocols and substrate sensitivity.

Immunogen

A portion of amino acids 259-291 from the human protein was used as the immunogen for the SAM68 antibody.

Storage

Aliquot the SAM68 antibody and store frozen at -20oC or colder. Avoid repeated freeze-thaw cycles.

Cross
Bulk Quote Request Form
Name*:
Organization*:
Email*:
Phone Number*:
Catalog No.*:
Comments and Specifics(amount, formulation, etc.)*:
Validation code: Captchapackage Image


Can't read the image? click here to refresh.
    *required field

Your bulk quote request has been submitted successfully!

Please contact us if you have any questions.