• Tel: 858.663.9055
  • SeparatorEmail: info@nsjbio.com
  • Tel: 858.663.9055
  • Email: info@nsjbio.com
Home >> Antibodies >> SAE1 Antibody / SUMO-1 activating enzyme subunit 1

SAE1 Antibody / SUMO-1 activating enzyme subunit 1 (RQ7525)

  Catalog No Formulation Size Price (USD)  
Image RQ7525 0.5mg/ml if reconstituted with 0.2ml sterile DI water 100 ug 439
Bulk quote request
Immunofluorescent staining of FFPE human U-2 OS cells with SAE1 antibody (red) and Alpha Tubulin mAb (blue). HIER: steam section in pH6 citrate buffer for 20 min.
Immunofluorescent staining of FFPE human esophageal squamous carcinoma tissue with SAE1 antibody. HIER: steam section in pH8 EDTA buffer for 20 min.
Immunofluorescent staining of FFPE mouse testis tissue with SAE1 antibody. HIER: steam section in pH8 EDTA buffer for 20 min.
Immunofluorescent staining of FFPE rat testis tissue with SAE1 antibody. HIER: steam section in pH8 EDTA buffer for 20 min.
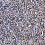
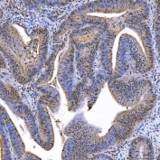
IHC staining of FFPE human intestinal cancer tissue with SAE1 antibody. HIER: boil tissue sections in pH8 EDTA for 20 min and allow to cool before testing.
IHC staining of FFPE human ovarian cancer tissue with SAE1 antibody. HIER: boil tissue sections in pH8 EDTA for 20 min and allow to cool before testing.
IHC staining of FFPE human lung cancer tissue with SAE1 antibody. HIER: boil tissue sections in pH8 EDTA for 20 min and allow to cool before testing.
IHC staining of FFPE human duodenum tissue with SAE1 antibody. HIER: boil tissue sections in pH8 EDTA for 20 min and allow to cool before testing.
IHC staining of FFPE mouse testis tissue with SAE1 antibody. HIER: boil tissue sections in pH8 EDTA for 20 min and allow to cool before testing.
IHC staining of FFPE rat testis tissue with SAE1 antibody. HIER: boil tissue sections in pH8 EDTA for 20 min and allow to cool before testing.
Western blot testing of 1) human HeLa, 2) human Jurkat, 3) human 293T, 4) human MCF7, 5) rat testis, 6) mouse testis and 7) mouse thymus tissue lysate with SAE1 antibody. Predicted molecular weight ~38 kDa.
Availability 1-3 business days
Species Reactivity Human, Mouse, Rat
Format Antigen affinity purified
Clonality Polyclonal (rabbit origin)
Isotype Rabbit IgG
Purity Antigen affinity purified
Buffer Lyophilized from 1X PBS with 2% Trehalose
UniProt Q9UBE0
Localization Nuclear, cytoplasmic
Applications Western Blot : 0.5-1ug/ml
Immunohistochemistry (FFPE) : 2-5ug/ml
Immunofluorescence : 5ug/ml
Direct ELISA : 0.1-0.5ug/ml
Limitations This SAE1 antibody is available for research use only.
Review this product on BioCompare and get a $20 Amazon gift card

Related Products

Description

SUMO-activating enzyme subunit 1 is a protein that in humans is encoded by the SAE1 gene. Posttranslational modification of proteins by the addition of the small protein SUMO, or sumoylation, regulates protein structure and intracellular localization. SAE1 and UBA2 form a heterodimer that functions as a SUMO-activating enzyme for the sumoylation of proteins.

Application Notes

Optimal dilution of the SAE1 antibody should be determined by the researcher.

Immunogen

E. coli-derived recombinant human protein (amino acids R33-M299) was used as the immunogen for the SAE1 antibody.

Storage

After reconstitution, the SAE1 antibody can be stored for up to one month at 4oC. For long-term, aliquot and store at -20oC. Avoid repeated freezing and thawing.

Cross
Bulk Quote Request Form
Name*:
Organization*:
Email*:
Phone Number*:
Catalog No.*:
Comments and Specifics(amount, formulation, etc.)*:
Validation code: Captchapackage Image


Can't read the image? click here to refresh.
    *required field

Your bulk quote request has been submitted successfully!

Please contact us if you have any questions.