• Tel: 858.663.9055
  • SeparatorEmail: info@nsjbio.com
  • Tel: 858.663.9055
  • Email: info@nsjbio.com
Home >> Antibodies >> SAA Antibody / SAA1 + SAA2

SAA Antibody / SAA1 + SAA2 [clone SAA/326] (V7516)

  Catalog No Formulation Size Price (USD)  
Image V7516-100UG 0.2 mg/ml in 1X PBS with 0.1 mg/ml BSA (US sourced) and 0.05% sodium azide 100 ug 539
Image
V7516-20UG 0.2 mg/ml in 1X PBS with 0.1 mg/ml BSA (US sourced) and 0.05% sodium azide 20 ug 249
Image
V7516SAF-100UG 1 mg/ml in 1X PBS; BSA free, sodium azide free 100 ug 539
Image
V7516IHC-7ML Prediluted in 1X PBS with 0.1 mg/ml BSA (US sourced) and 0.05% sodium azide; *For IHC use only* 7 ml 539
Bulk quote request
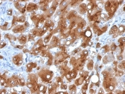
IHC staining of FFPE human hepatocellular carcinoma with SAA antibody. HIER: boil tissue sections in 10mM Tris with 1mM EDTA, pH 9, for 10-20 min and allow to cool before testing.
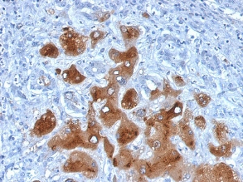
IHC staining of FFPE human hepatocellular carcinoma with SAA antibody. HIER: boil tissue sections in 10mM Tris with 1mM EDTA, pH 9, for 10-20 min and allow to cool before testing.
Availability 1-3 business days
Species Reactivity Human
Format Purified
Clonality Monoclonal (mouse origin)
Isotype Mouse IgG2a, kappa
Clone Name SAA/326
Purity Protein G affinity chromatography
UniProt P0DJI8 , P0DJI9
Localization Cytoplasmic, secreted
Applications Immunohistochemistry (FFPE) : 1-2ug/ml for 30 min at RT
Limitations This SAA antibody is available for research use only.
Review this product on BioCompare and get a $20 Amazon gift card

Related Products

Description

This antibody reacts with natural and recombinant human Serum Amyloid A (SAA) and does not cross-react with other human cytokines or growth factors. Human SAA proteins are a group of apo-lipoproteins found predominantly in the high-density lipoprotein (HDL) fraction of plasma. SAA is a major acute-phase protein and precursor to amyloid A protein, which is the major constituent of the fibril deposits of reactive amyloidosis. SAA is secreted in large amounts by the liver during microbial infections or inflammatory diseases.

Application Notes

Optimal dilution of the SAA antibody should be determined by the researcher.

1. The prediluted format is supplied in a dropper bottle and is optimized for use in IHC. After epitope retrieval step (if required), drip mAb solution onto the tissue section and incubate at RT for 30 min.

Immunogen

Recombinant human protein was used as the immunogen for the SAA antibody.

Storage

Store the SAA antibody at 2-8oC (with azide) or aliquot and store at -20oC or colder (without azide).

Cross
Bulk Quote Request Form
Name*:
Organization*:
Email*:
Phone Number*:
Catalog No.*:
Comments and Specifics(amount, formulation, etc.)*:
Validation code: Captchapackage Image


Can't read the image? click here to refresh.
    *required field

Your bulk quote request has been submitted successfully!

Please contact us if you have any questions.