• Tel: 858.663.9055
  • SeparatorEmail: info@nsjbio.com
  • Tel: 858.663.9055
  • Email: info@nsjbio.com
Home >> Antibodies >> S100B Antibody

S100B Antibody [clone S100B/4141] (V9289)

  Catalog No Formulation Size Price (USD)  
Image V9289-100UG 0.2 mg/ml in 1X PBS with 0.1 mg/ml BSA (US sourced), 0.05% sodium azide 100 ug 539
Image
V9289-20UG 0.2 mg/ml in 1X PBS with 0.1 mg/ml BSA (US sourced), 0.05% sodium azide 20 ug 249
Image
V9289SAF-100UG 1 mg/ml in 1X PBS; BSA free, sodium azide free 100 ug 539
Microvalidated
Bulk quote request
Analysis of HuProt(TM) microarray containing more than 19,000 full-length human proteins using S100B antibody (clone S100B/4141). These results demonstrate the foremost specificity of the S100B/4141 mAb. Z- and S- score: The Z-score represents the strength of a signal that an antibody (in combination with a fluorescently-tagged anti-IgG secondary Ab) produces when binding to a particular protein on the HuProt(TM) array. Z-scores are described in units of standard deviations (SD's) above the mean value of all signals generated on that array. If the targets on the HuProt(TM) are arranged in descending order of the Z-score, the S-score is the difference (also in units of SD's) between the Z-scores. The S-score therefore represents the relative target specificity of an Ab to its intended target.
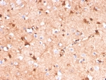
IHC staining of FFPE human cerebellum tissue with S100B antibody (clone S100B/4141). HIER: boil tissue sections in pH 9 10mM Tris with 1mM EDTA for 20 min and allow to cool before testing.
SDS-PAGE analysis of purified, BSA-free S100B antibody (S100B/4141) as confirmation of integrity and purity.
Availability 1-3 business days
Species Reactivity Human
Format Purified
Clonality Monoclonal (mouse origin)
Isotype Mouse IgG2c, kappa
Clone Name S100B/4141
Purity Protein A/G affinity
UniProt P04271
Localization Cytoplasmic, Nuclear
Applications Immunohistochemistry (FFPE) : 1-2ug/ml
Limitations This S100B antibody is available for research use only.
Review this product on BioCompare and get a $20 Amazon gift card

Related Products

Description

S100B antibody detects S100 calcium-binding protein B, encoded by the S100B gene. S100B is a dimeric protein primarily expressed in astrocytes, Schwann cells, and melanocytes. It plays roles in intracellular signaling, cytoskeletal organization, and calcium homeostasis. Because S100B is both a marker of glial activation and a biomarker of melanoma, S100B antibody is widely applied in neuroscience, oncology, and pathology.

S100B binds calcium through EF-hand motifs and interacts with target proteins to regulate proliferation, differentiation, and apoptosis. At physiological concentrations, it supports neuronal survival and cytoskeletal dynamics, but at elevated levels, extracellular S100B can contribute to inflammation and neurotoxicity. Its dual role makes it an important molecule for understanding both normal physiology and disease states.

The S100B antibody clone S100B/4141 provides reliable and specific detection. Clone S100B/4141 has been cited in peer-reviewed research examining neurodegenerative diseases, astrocytoma pathology, and melanoma progression. Its reproducibility makes it suitable for immunohistochemistry, immunoblotting, and immunofluorescence, where precise detection of S100B is critical.

Research using clone S100B/4141 has demonstrated how increased S100B levels accompany reactive gliosis in Alzheimer’s disease, traumatic brain injury, and other neuropathological conditions. In oncology, S100B detection has clarified how expression in melanomas serves as a prognostic marker and therapeutic indicator. This antibody has also supported developmental studies examining glial maturation and calcium signaling regulation in the nervous system.

NSJ Bioreagents provides this S100B antibody to support neuroscience, oncology, and calcium signaling research. Alternate names include S100 calcium-binding protein B antibody, astrocytic marker antibody, melanoma biomarker antibody, glial activation protein antibody, calcium-binding cytosolic protein antibody, and S100B gene product antibody.

Application Notes

Optimal dilution of the S100B antibody should be determined by the researcher.

Immunogen

A portion of amino acids 3-92 was used as the immunogen for the S100B antibody.

Storage

Aliquot the S100B antibody and store frozen at -20oC or colder. Avoid repeated freeze-thaw cycles.

Cross
Bulk Quote Request Form
Name*:
Organization*:
Email*:
Phone Number*:
Catalog No.*:
Comments and Specifics(amount, formulation, etc.)*:
Validation code: Captchapackage Image


Can't read the image? click here to refresh.
    *required field

Your bulk quote request has been submitted successfully!

Please contact us if you have any questions.