• Tel: 858.663.9055
  • SeparatorEmail: info@nsjbio.com
  • Tel: 858.663.9055
  • Email: info@nsjbio.com
Home >> Antibodies >> S100A8 Antibody

S100A8 Antibody (R32039)

  Catalog No Formulation Size Price (USD)  
Image R32039 0.5mg/ml if reconstituted with 0.2ml sterile DI water 100 ug 439
Bulk quote request
Immunofluorescent staining of FFPE mouse NIH 3T3 cells with S100A8 antibody (red) and DAPI nuclear stain (blue). HIER: steam section in pH6 citrate buffer for 20 min.
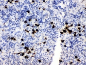
IHC testing of FFPE mouse spleen with S100A8 antibody. HIER: Boil the paraffin sections in pH 6, 10mM citrate buffer for 20 minutes and allow to cool prior to staining.
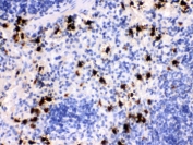
IHC testing of FFPE rat spleen with S100A8 antibody. HIER: Boil the paraffin sections in pH 6, 10mM citrate buffer for 20 minutes and allow to cool prior to staining.
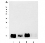
Western blot testing of 1) rat spleen, 2) rat thymus, 3) mouse spleen and 4) mouse thymus tissue lysate with S100A8 antibody. Predicted molecular weight ~11 kDa.
Flow cytometry testing of mouse HEPA1-6 cells with S100A8 antibody at 1ug/million cells (blocked with goat sera); Red=cells alone, Green=isotype control, Blue= S100A8 antibody.
Availability 1-3 business days
Species Reactivity Mouse, Rat
Format Antigen affinity purified
Clonality Polyclonal (rabbit origin)
Isotype Rabbit IgG
Purity Antigen affinity
Buffer Lyophilized from 1X PBS with 2.5% BSA and 0.025% sodium azide
UniProt P27005
Applications Western Blot : 0.1-0.5ug/ml
Immunohistochemistry (FFPE) : 0.5-1ug/ml
Immunofluorescence (FFPE) : 2-4ug/ml
Flow Cytometry : 1-3ug/million cells
Limitations This S100A8 antibody is available for research use only.
Review this product on BioCompare and get a $20 Amazon gift card

Related Products

Description

S100 calcium-binding protein A8 is a protein that in humans is encoded by the S100A8 gene. It is also known as Calgranulin A, MRP8 and Calprotectin L1L subunit. The protein encoded by this gene is a member of the S100 family of proteins containing 2 EF-hand calcium-binding motifs. S100 proteins are localized in the cytoplasm and/or nucleus of a wide range of cells, and involved in the regulation of a number of cellular processes such as cell cycle progression and differentiation. S100 genes include at least 13 members which are located as a cluster on chromosome 1q21. This protein may function in the inhibition of casein kinase and as a cytokine. Altered expression of this protein is associated with the disease cystic fibrosis.

Application Notes

Optimal dilution of the S100A8 antibody should be determined by the researcher.

Immunogen

Amino acids 2-89 of mouse MRP8/S100A8 were used as the immunogen for the S100A8 antibody.

Storage

After reconstitution, the S100A8 antibody can be stored for up to one month at 4oC. For long-term, aliquot and store at -20oC. Avoid repeated freezing and thawing.

Alternate Names

Calgranulin A, MRP8, Calprotectin L1L subunit

Cross
Bulk Quote Request Form
Name*:
Organization*:
Email*:
Phone Number*:
Catalog No.*:
Comments and Specifics(amount, formulation, etc.)*:
Validation code: Captchapackage Image


Can't read the image? click here to refresh.
    *required field

Your bulk quote request has been submitted successfully!

Please contact us if you have any questions.