• Tel: 858.663.9055
  • SeparatorEmail: info@nsjbio.com
  • Tel: 858.663.9055
  • Email: info@nsjbio.com
Home >> Antibodies >> S100A4 Antibody / FSP1

S100A4 Antibody / FSP1 [clone S100A4/1482] (V3435)

  Catalog No Formulation Size Price (USD)  
Image V3435-100UG 0.2 mg/ml in 1X PBS with 0.1 mg/ml BSA (US sourced) and 0.05% sodium azide 100 ug 539
Image
V3435-20UG 0.2 mg/ml in 1X PBS with 0.1 mg/ml BSA (US sourced) and 0.05% sodium azide 20 ug 249
Image
V3435SAF-100UG 1 mg/ml in 1X PBS; BSA free, sodium azide free 100 ug 539
Bulk quote request
Western blot testing of human 1) HeLa, 2) A549 and 3) A431 cell lysate with S100A4 antibody (clone S100A4/1482). Predicted molecular weight ~12 kDa.
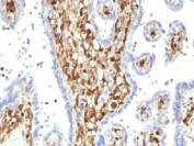
IHC testing of FFPE human placenta with S100A4 antibody (clone S100A4/1482). Required HIER: steam sections in 10mM citrate buffer, pH 6, for 10-20 min followed by cooling.
Western blot testing of human HeLa cell lysate with S100A4 antibody (clone S100A4/1482). Predicted molecular weight ~12 kDa.
Flow cytometry testing of human T98G cells with S100A4 antibody (clone S100A4/1482); Red=isotype control, Blue= S100A4 antibody.
Flow cytometry testing of human A549 cells with S100A4 antibody (clone S100A4/1482); Red=isotype control, Blue= S100A4 antibody.
SDS-PAGE analysis of purified, BSA-free S100A4 antibody (clone S100A4/1482) as confirmation of integrity and purity.
IF/ICC testing of fixed and permeabilized human HeLa cells with FSP1 antibody (clone S100A4/1482, green) and Reddot nuclear stain (red).
Availability 1-3 business days
Species Reactivity Human, Mouse
Format Purified
Clonality Monoclonal (mouse origin)
Isotype Mouse IgG1, kappa
Clone Name S100A4/1482
Purity Protein G affinity chromatography
UniProt P26447
Localization Cytoplasmic, nuclear
Applications Flow Cytometry : 1-2ug/million cells
Immunofluorescence : 1-2ug/ml
Western Blot : 1-2ug/ml
Immunohistochemistry (FFPE) : 1-2ug/ml for 30 min at RT
Limitations This S100A4 antibody is available for research use only.
Review this product on BioCompare and get a $20 Amazon gift card

Related Products

Description

S100A4/FSP1 (Fibroblast specific protein 1) belongs to the S100 super-family of proteins containing 2 EF-hand calcium-binding domains. S100 genes include at least 25 members, including S100A1-S100A18, trichohyalin, filaggrin, repetin, S100P, and S100Z. S100A4 exerts its function via direct interaction with a number of proteins including p53, p63, non-muscle myosin IIA, a6b4 integrin, and liprin b1. S100A4 is overexpressed in highly metastatic cancers, which makes it useful as a marker of tumor progression.

Application Notes

The optimal dilution of the S100A4 antibody for each application should be determined by the researcher.

Immunogen

Human recombinant S100A4 protein was used as the immunogen for this S100A4 antibody.

Storage

Store the S100A4 antibody at 2-8oC (with azide) or aliquot and store at -20oC or colder (without azide).

Cross
Bulk Quote Request Form
Name*:
Organization*:
Email*:
Phone Number*:
Catalog No.*:
Comments and Specifics(amount, formulation, etc.)*:
Validation code: Captchapackage Image


Can't read the image? click here to refresh.
    *required field

Your bulk quote request has been submitted successfully!

Please contact us if you have any questions.