• Tel: 858.663.9055
  • SeparatorEmail: info@nsjbio.com
  • Tel: 858.663.9055
  • Email: info@nsjbio.com
Home >> Antibodies >> S100A2 Antibody

S100A2 Antibody [clone CPTC-S100A2-2] (V7342)

  Catalog No Formulation Size Price (USD)  
Image V7342-100UG 0.2 mg/ml in 1X PBS with 0.1 mg/ml BSA (US sourced) and 0.05% sodium azide 100 ug 539
Image
V7342-20UG 0.2 mg/ml in 1X PBS with 0.1 mg/ml BSA (US sourced) and 0.05% sodium azide 20 ug 249
Image
V7342SAF-100UG 1 mg/ml in 1X PBS; BSA free, sodium azide free 100 ug 539
Image
V7342IHC-7ML Prediluted in 1X PBS with 0.1 mg/ml BSA (US sourced) and 0.05% sodium azide; *For IHC use only* 7 ml 539
Microvalidated
Bulk quote request
Western blot testing of human A431 lysate with S100A2 antibody. Expected molecular weight ~11 kDa.
Immunofluorescent staining of human A549 cells with S100A2 antibody (green) and Reddot (nuclear stain).
IHC staining of FFPE human skin with S100A2 antibody. HIER: boil tissue sections in pH6, 10mM citrate buffer, for 10-20 min and allow to cool before testing.
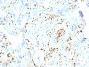
IHC staining of FFPE human placenta with S100A2 antibody. HIER: boil tissue sections in pH6, 10mM citrate buffer, for 10-20 min and allow to cool before testing.
FACS testing of human HeLa cells with S100A2 antibody (blue) and isotype control (red).
Analysis of HuProt(TM) microarray containing more than 19,000 full-length human proteins using S100A2 antibody. These results demonstrate the foremost specificity of the CPTC-S100A2-2 mAb.
Z- and S- score: The Z-score represents the strength of a signal that an antibody (in combination with a fluorescently-tagged anti-IgG secondary Ab) produces when binding to a particular protein on the HuProt(TM) array. Z-scores are described in units of standard deviations (SD's) above the mean value of all signals generated on that array. If the targets on the HuProt(TM) are arranged in descending order of the Z-score, the S-score is the difference (also in units of SD's) between the Z-scores. The S-score therefore represents the relative target specificity of an Ab to its intended target.
Availability 1-3 business days
Species Reactivity Human
Format Purified
Clonality Monoclonal (mouse origin)
Isotype Mouse IgG2b, kappa
Clone Name CPTC-S100A2-2
Purity Protein G affinity chromatography
UniProt P29034
Localization Cytoplasmic, nuclear
Applications Western Blot : 1-2ug/ml
Flow Cytometry : 1-2ug/10^6 cells
Immunofluorescence : 1-2ug/ml
Immunohistochemistry (FFPE) : 0.5-1ug/ml for 30 min at RT
Limitations This S100A2 antibody is available for research use only.
Review this product on BioCompare and get a $20 Amazon gift card

Related Products

Description

S100A2 belongs to the S100 family of proteins containing 2 EF-hand calcium-binding motifs. S100A2 may function as a modulator against excess calcium accumulation in normal human mammary epithelial cells and also have a role in suppressing tumor cell growth. This protein may have a tumor suppressor function. Chromosomal rearrangements and altered expression of this gene have been implicated in breast cancer. Cytoplasmic overexpression may also be of prognostic significance when observed in oral cancer patients, and the S100A2 has also been identified as significantly down-regulated in gastric cancer.

Application Notes

Optimal dilution of the recombinant S100A2 antibody should be determined by the researcher.

1. The prediluted format is supplied in a dropper bottle and is optimized for use in IHC. After epitope retrieval step (if required), drip mAb solution onto the tissue section and incubate at RT for 30 min.

Immunogen

Recombinant human protein was used as the immunogen for the S100A2 antibody.

Storage

Store the S100A2 antibody at 2-8oC (with azide) or aliquot and store at -20oC or colder (without azide).

Cross
Bulk Quote Request Form
Name*:
Organization*:
Email*:
Phone Number*:
Catalog No.*:
Comments and Specifics(amount, formulation, etc.)*:
Validation code: Captchapackage Image


Can't read the image? click here to refresh.
    *required field

Your bulk quote request has been submitted successfully!

Please contact us if you have any questions.