• Tel: 858.663.9055
  • SeparatorEmail: info@nsjbio.com
  • Tel: 858.663.9055
  • Email: info@nsjbio.com
Home >> Antibodies >> S100A16 Antibody

S100A16 Antibody [clone S100A16/7412] (V4720)

  Catalog No Formulation Size Price (USD)  
Image V4720-100UG 0.2 mg/ml in 1X PBS with 0.1 mg/ml BSA (US sourced), 0.05% sodium azide 100 ug 539
Image
V4720-20UG 0.2 mg/ml in 1X PBS with 0.1 mg/ml BSA (US sourced), 0.05% sodium azide 20 ug 249
Image
V4720SAF-100UG 1 mg/ml in 1X PBS; BSA free, sodium azide free 100 ug 539
Bulk quote request
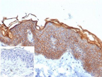
IHC staining of FFPE human skin tissue with S100A16 antibody (clone S100A16/7412). Inset: PBS used in place of primary Ab (secondary Ab negative control). HIER: boil tissue sections in pH 9 10mM Tris with 1mM EDTA for 20 min and allow to cool before testing.
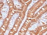
IHC staining of FFPE human duodenum tissue with S100A16 antibody (clone S100A16/7412). HIER: boil tissue sections in pH 9 10mM Tris with 1mM EDTA for 20 min and allow to cool before testing.
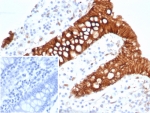
IHC staining of FFPE human colon carcinoma tissue with S100A16 antibody (clone S100A16/7412). Inset: PBS used in place of primary Ab (secondary Ab negative control). HIER: boil tissue sections in pH 9 10mM Tris with 1mM EDTA for 20 min and allow to cool before testing.
Western blot testing of human SK-BR-3 cell lysate with S100A16 antibody. Predicted molecular weight ~12 kDa.
SDS-PAGE analysis of purified, BSA-free S100A16 antibody (clone S100A16/7412) as confirmation of integrity and purity.
Availability 1-3 business days
Species Reactivity Human
Format Purified
Clonality Monoclonal (mouse origin)
Isotype Mouse IgG2, kappa
Clone Name S100A16/7412
Purity Protein A/G affinity
UniProt Q96FQ6
Localization Nucleus, Cytoplasm
Applications Immunohistochemistry (FFPE) : 1-2ug/ml for 30 min at RT
Western Blot : 2-4ug/ml
Limitations This S100A16 antibody is available for research use only.
Review this product on BioCompare and get a $20 Amazon gift card

Related Products

Description

S-100A16 (S100 calcium binding protein A16), also known as AAG13 (aging-associated gene 13 protein), S100F or DT1P1A7, is a 103 amino acid nuclear and cytoplasmic protein that exists as a homodimer that binds one calcium ion per monomer. A member of the EF-hand superfamily, S-100A16 contains two EF-hand domains and is encoded by a gene that maps to human chromosome 1q21.3.

Application Notes

Optimal dilution of the S100A16 antibody should be determined by the researcher.

Immunogen

A recombinant partial protein sequence (within amino acids 1-103) from the human protein was used as the immunogen for the S100A16 antibody.

Storage

Aliquot the S100A16 antibody and store frozen at -20oC or colder. Avoid repeated freeze-thaw cycles.

Cross
Bulk Quote Request Form
Name*:
Organization*:
Email*:
Phone Number*:
Catalog No.*:
Comments and Specifics(amount, formulation, etc.)*:
Validation code: Captchapackage Image


Can't read the image? click here to refresh.
    *required field

Your bulk quote request has been submitted successfully!

Please contact us if you have any questions.