• Tel: 858.663.9055
  • SeparatorEmail: info@nsjbio.com
  • Tel: 858.663.9055
  • Email: info@nsjbio.com
Home >> Antibodies >> RTEL1 Antibody / Regulator of telomere elongation helicase 1

RTEL1 Antibody / Regulator of telomere elongation helicase 1 (RQ4375)

  Catalog No Formulation Size Price (USD)  
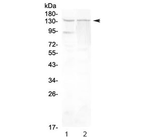
Image RQ4375 0.5mg/ml if reconstituted with 0.2ml sterile DI water 100 ug 439
Bulk quote request
Western blot testing of rat 1) testis and 2) PC-12 lysate with RTEL1 antibody at 0.5ug/ml. Predicted molecular weight ~134 kDa.
Availability 1-3 business days
Species Reactivity Rat
Predicted Reactivity Human
Format Antigen affinity purified
Clonality Polyclonal (rabbit origin)
Isotype Rabbit IgG
Purity Antigen affinity purified
Buffer Lyophilized from 1X PBS with 2% Trehalose and 0.025% sodium azide
UniProt Q9NZ71
Localization Nucleus
Applications Western Blot : 0.5-1ug/ml
Direct ELISA : 0.1-0.5ug/ml
Limitations This RTEL1 antibody is available for research use only.
Review this product on BioCompare and get a $20 Amazon gift card

Related Products

Description

The RTEL1 gene encodes a DNA helicase which functions in the stability, protection and elongation of telomeres and interacts with proteins in the shelterin complex known to protect telomeres during DNA replication. Mutations in this gene have been associated with dyskeratosis congenita and Hoyerall-Hreidarsson syndrome. Read-through transcription of this gene into the neighboring downstream gene, which encodes tumor necrosis factor receptor superfamily, member 6b, generates a non-coding transcript. Alternative splicing results in multiple transcript variants encoding different isoforms.

Application Notes

Optimal dilution of the RTEL1 antibody should be determined by the researcher.

Immunogen

A recombinant human protein corresponding to amino acids R651-M756 was used as the immunogen for the RTEL1 antibody.

Storage

After reconstitution, the RTEL1 antibody can be stored for up to one month at 4oC. For long-term, aliquot and store at -20oC. Avoid repeated freezing and thawing.

Cross
Bulk Quote Request Form
Name*:
Organization*:
Email*:
Phone Number*:
Catalog No.*:
Comments and Specifics(amount, formulation, etc.)*:
Validation code: Captchapackage Image


Can't read the image? click here to refresh.
    *required field

Your bulk quote request has been submitted successfully!

Please contact us if you have any questions.